Volume 5 Issue 8

Guest Editorial

COVID-19 Associated with Cardiometabolic Risk Factors

Attapon Cheepsattayakorn, Ruangrong Cheepsattayakorn and Porntep Siriwanarangsun

Research Article

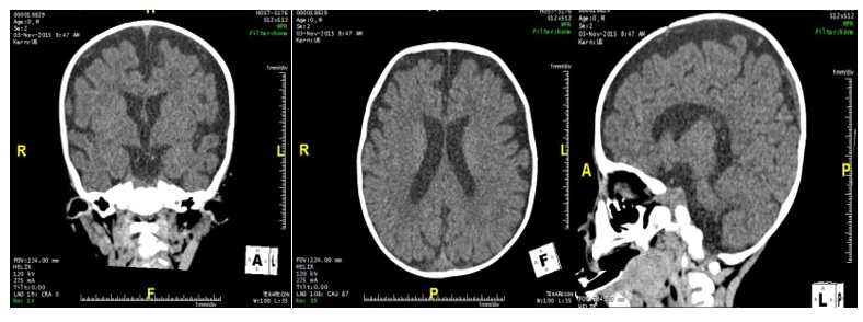
Nervous System Lesion in Infants with Vitamin B12 Deficiency Anemia

Taranushenko Tatiana E, SO Falaleeva, EV Borisova and NYu Makarevskaya

Review Article

Stress: Its Mechanism, Experimental Assessment and Diagnostic Markers

Mohd Rafi Reshi, Nusrat Nabi, Afshana Bashir Reshi, Aabida Majid, Saman Anees, Nafaa Hasan, Maaz Naqvi and Jamal Akhtar

Review Article

Alopecia and COVID 19 have a Direct Correlation. Look at this for a Second

Naginder Pal Singh, Navpreet Singh, Manvir Singh, Hardik Pahuja, Avineet Kaur and Harnoor Singh Sandhu

Case Report

Feasibility of Ambulatory Thyroidectomy: Beginning of Experience about 22 Cases

Zatir Soufiane, S Lemoui, T Lerkaam, D Adnane, M Mouloudi, F Dahim, M Medjamea and S Belakehal

Case Report

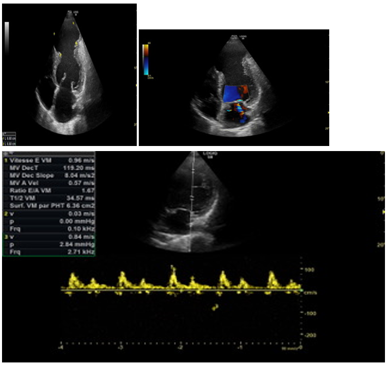
Aneurysm of the Left Ventricle Revealed by a Coronary Syndrome Complicated by Cardiogenic Shock

Ziani Hicham, Aberouch Larbi, Nabil Lacchab, Jaouad Ngadi, Aziza Bentalha, Taddili Jawad and Mamoun Faroudy

Case Series

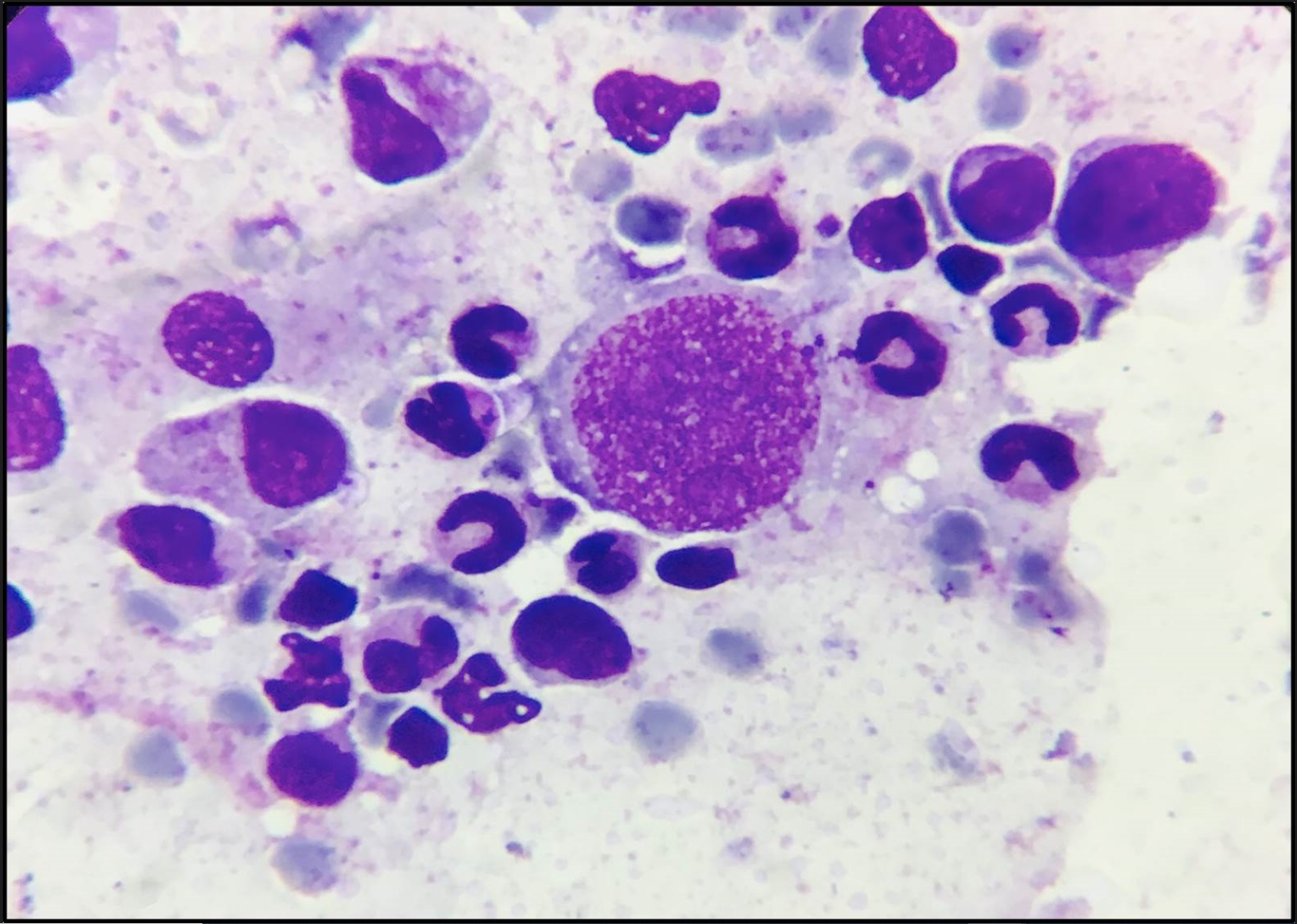
Pure Red Cell Aplasia; A Tripod of Cases

Deepika Gupta, Vijay Kumar, Swati Rao, Sadhna Marwah and Devender Singh Chauhan

Commentary

Tooth Sensitivity: A Commentary

Rehana Younus Lakhani

Short Communication

Effect of the Covid-19 Pandemic on Soccer in Zimbabwe

Eberhard Munetsi Tapera and Gerald Tanaka Chirairo

Opinion

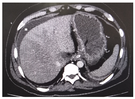
CT Imaging of Pancreatitis and its Complications

Farheen Raza and Muhammad Mobeen