Volume 6 Issue 2

Research Article

Smoking May Not Prevent Overweight or Obesity

Mehmet Rami Helvaci, Engin Altintas, Atilla Yalcin, Orhan Ekrem Muftuoglu, Abdulrazak Abyad and Lesley Pocock. 6(2): 21-28.

Research Article

Evaluation of Fetal and Neonatal Thyroid in Pregnancies with Covid-19 Infections

Al Sean Amal, Afifi Elham, Mutairi Waad, Al Hussein Khalid, Miqdad Abeer, Samadi Abdelmohsen, Alshareef Faisal and Abdelbasit Omer. 6(2): 62-71.

Case Report

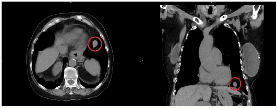
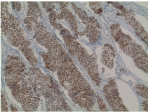
Chest X-Ray Delayed Diagnosis of Lung Cancer with Liver Metastases: Case Report of Misinterpreted Bronchopneumonia

Petar Avramovski, Marija Georgievska, Stefan Talev, Maja Avramovska, Vesna Siklovska, Biljana Ilkovska, Julijana Petrovska and Dejan Zdraveski. 6(2): 01-07.

Case Report

Transomental Hernia through the Greater Omentum

Ahmad Mohammed Odeh, Zainab Ali Alammar, Kawthar Abduljabbar Boumarah, Abdulmohsen Yaseer Alkhars and Zuhair Yousef Aljomeah. 6(2): 08-11.

Case Report

Unusual Chromogranin-A, TIF-1 Positive-Paraganglioma of the Head and Neck: A Case Report and Literature Review

Ramy Ibrahim, Jose R Hermann, Mehak Riaz, Kenneth S Roca, Amanda Arauz, Mina Salidis and Rishit Arnav Shaquib. 6(2): 31-37.

Case Report

Ophthalmological Manifestations in a Patient with Hypohidrotic Ectodermal Dysplasia

Samuel Josue Avalos Lara, Oscar Baca Lozada, Oscar Fernández Vizcaya, Lorenza Céspedes Pastrana, Cristina Mendoza Velásquez and Josefina de Peña Ortíz. 6(2): 78-83.

Case Report

Abdominal Pain and Anemia in Children

Islam Issa and Zuhaeir Malaki. 6(2): 46-48.

Case Report

Case Report: Transient Osteoporosis of Pregnancy in the Knee

Nhi Tran and Woojin Chong. 6(2): 52-56.

Short Communication

Oral Cancer (Tobacco): Short Communication

Rehana Younus Lakhani. 6(2): 111-114.

Short Communication

Experience in the Treatment of Postcovid Inflammation in Adults

Katyukhin VN. 6(2): 29-30.

Short Communication

A Note on Fecal Vomiting in Human

Mohammad Salim, Farhat Jahan and Vivek Kumar Yadav. 6(2): 49-51.

Case Series

Unusual Presentation of Invasive Mammary Carcinoma Metastasized to Skin, Case Series

Abanoub Gabra, George Hanna, Alexey Glazyrin, Alan Schiller, Imran Baig, Faisel Baig and Mirza Baig. 6(2): 01-07.