Volume 6 Issue 3

Research Article

Factors Affecting Accessibility of Blood Derivatives in Egypt

Abdalla Abotaleb. 6(3): 45-49.

Review Article

Photoimmunotherapy for Immunosuppressed Patients and Prevalent and Commonly Known Cancers

Hilary M Holets, Nicholas A Kerna, Dabeluchi C Ngwu, Sudeep Chawla, ND Victor Carsrud, Kevin D Pruitt, John V Flores and Joseph Anderson II. 6(3): 25-42.

Review Article

A Compendium of the Review and Research Projects and Articles Conducted by the Independent Global Medical Research Consortium (IGMRC) in 2022

Nicholas A Kerna, Hilary M Holets, ND Victor Carsrud, Sudeep Chawla, John V Flores, Kevin D Pruitt, Joseph Anderson II and Dabeluchi C Ngwu. 6(3): 43-74.

Case Report

A Case of Bilateral and Simultaneous Triceps Tendon Rupture in a 42-Year-Old Male Bodybuilder

Kacie L Mitchell, Eiline Cai and Colten Luedke. 6(3): 08-13.

Case Report

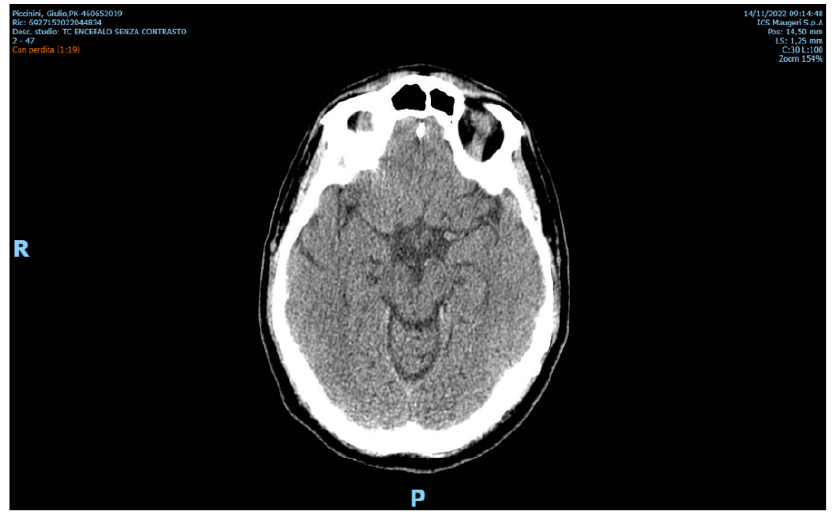
Blindness Linked to Acute Disseminate Encephalomyelitis (ADEM) and Covid 19

G Fizzotti, F Grossi, S Rivoire and P Gabanelli. 6(3): 37-40.

Case Report

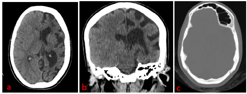
Adult Presentation of Dyke Davidoff Masson Syndrome

El Mansoury Fatima Zahrae, Chalh Olaya, Lahkim Mohammed, En-Nafaa Issam and El Fenni Jamal. 6(3): 01-04.

Case Report

Successful Laparoscopic Management of Giant Hydatid Liver Cyst: A Case Report

Loai Saleh Albinsaad, Arshadullah Khan, Mohammed Yousef Alessa, Ali Abdulhamid Almohammed saleh and Abdulmohsen Yaseer Alkhars. 6(3): 19-24.

Case Series

Case Series of Suspicious Deaths in an Ambient Induced Heat Injury Syndrome in a Honduran State Institution

Edwin Eduardo Velásquez Maldonado, Oscar Fawed Ortega Reyes, Josué David Molina Paz, Allan Mauricio Cárcamo Suárez, María Alejandra Orellana Rivera, Leidy María Calderón Rico and Mariela Del Carmen Orellana Martínez. 6(3): 14-21.

Case Report

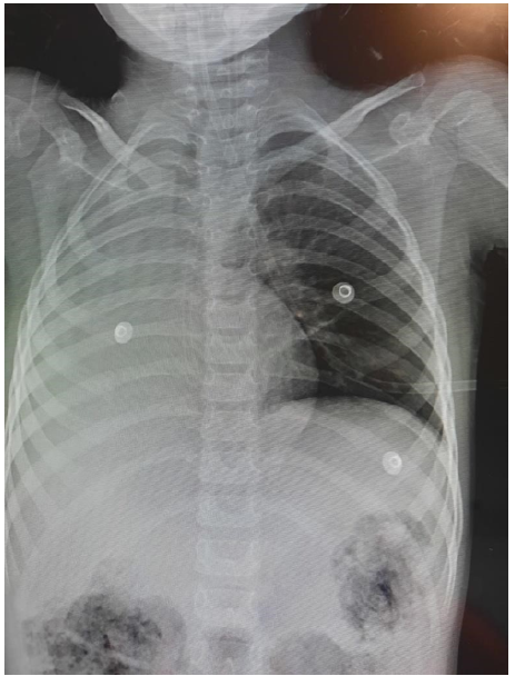
Lidocaine Poisoning in a Pediatric Patient, Regarding a Case

Ibeth Georgina Cedillo Velásquez, David Nicolás Mendoza Irías, Scarlett Nabila Rodríguez Flores, Gennar Nohelia Vallejo Padilla, Karen Melissa Lainez Maldonado, María Alejandra Orellana Rivera, Oscar Fawed Ortega Reyes. 6(3): 67-70.

Case Report

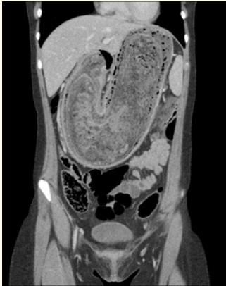
Rapunzel Syndrome and Atypical Pancreatitis Acute Abdomen: A Case Report

Zia Danesh Jummani, Karim A Sarhane, Ajit Dhake, Suvarna Dhake, Mahmood Shaik, Mohammed Shaidul Islam, Hakimuddin Jiwa Khan and Rahat Nasim. 6(3): 15-20.

Mini Review

Spiral Structures in the Myocardium

Alexander Chalyi and Albina Kryshtopa. 6(3): 50-54.

Opinion

Should the Novel Nicotine Products be Used for “Harm Reduction”?

Rakesh Gupta , Deepinder Singh and Sonu Goel . 6(3): 65-66.