Volume 6 Issue 4

Research Article

Virtual Reality Goggles as an Arsenal to Reduce ICU Delirium-Prospective Observational Study

Manimala Rao, Garipalli Nikilesh Kumar and Rana Prathap Simha. 6(4): 31-36.

Research Article

Ballistic Trauma of the Colon

Abdelhak Lamara, Badreddine Nini and Soufiane Zatir. 6(4): 75-84.

Research Article

The Effectiveness of Intravenous Infusion Ozone Therapy in Patients with Fatty Hepatosis

Katyukhin VN and Katyukhin LN. 6(4): 113-115.

Research Article

Suspected Amyotrophic Lateral Sclerosis Post COVD-19 infection

Sam Kara, Patrick Mercho, Kester Nedd and Sreepadma Sonty. 6(4): 116-123.

Research Article

Assessment of Waste Management in Health Care Facilities in Sudan

Asia Azrag Dahab, Adil Khalifa Ismail and Salaheldin Mubarak Elkhalifa. 6(4): 134-141.

Review Article

Hyperglycemia in COVID-19. Review

Saifutdinov Rafik Galimzyaznovich, Saifutdinov RR, Achmedov RU, Trefilova US and Saifutdinova TV. 6(4): 09-18.

Review Article

A Vibrational Herbal Approach to the Treatment and Curing of Diabetes

Almoez LeDin Ellah MS Eltouny. 6(4): 155-163.

Case Report

Necrotizing Fasciitis in a Young Healthy Adult Male Patient

Abdu Hasan Ayoub, Mohammed Mohmmed Haroon, Abdou AbelAziz Bin Merkhi, Ohemu Alexander Akogwu, Nasir Ali Alharbi, Alaa El Din Sadek Zidan, Ahmed Bahige Alslkhdee Mohammed AlSadiq Abderahih, Khalid Mohammed Ahmed, Ammar Eisa Sultan, Hasan Ahmed Wadaani, Naief Ali Domary, Ayham Ahmed Abu Sabaleh, Raum Abdu Ayoub, Imtenan Ali Oberi, Sarah Hassan Moafa, Sarah Ali Mobark and Yasser Mohammed Shmakhi. 6(4): 172-180.

Case Report

Necrotizing Fasciitis in Neonate Secondary to Beta Hemolytic Group A Streptococcus Treated with Split Thickness Skin Autograft

Ayaz Ur Rehman, Yusra Tariq, Rozina Iqbal, Manoj Kumar, Sohail Dogar and Adnan Mirza. 6(4): 100-105.

Case Report

The Use of an Electronic Cardiovascular Model, Case-Studies, and Transparency in Learning and Teaching Technique in Undergraduate Anatomy and Physiology

James R Cronmiller, James J Cronmiller, Matthew Fetzner, James Murphy, Laura Penman and Mary Jo Vest. 6(4): 164-171.

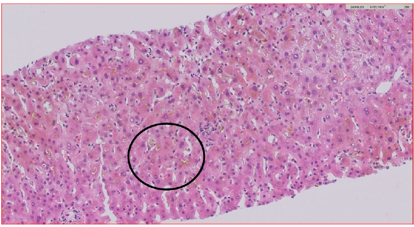
Case Report

Drug-Induced Liver Injury from Vismodegib: A Case Report

Zehra Irshad, Hina Shahid and Nwe Ni Than. 6(4): 142-145.

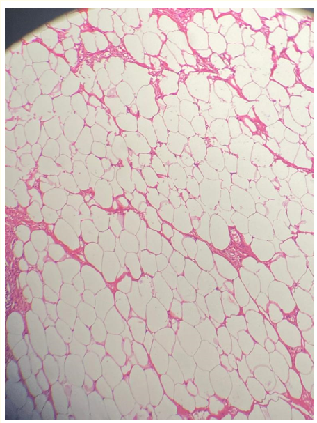
Case Report

Carpal Tunnel Syndrome Caused by a Lipoma of Chance Discovery: A Case Report

Amine EL Maqrout, Mohamed Jalal EL Mekkaoui, Moncef Boufettal, Rida-allah Bassir, Mohamed Kharmaz, Fouad Zouaidia, Moulay Omar Lamrani and Mohamed Saleh Berrada. 6(4): 106-112.

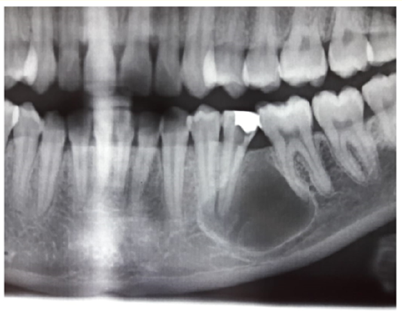
Case Report

Glandular Odontogenic Cyst: Report of Two Cases

Eldhose KG, Paul Steaphen and Anu Jose. 6(4): 149-154.

Mini Review

Advanced Wearable Devices in Healthcare

VR Singh and Kanika Singh. 6(4): 88-92.

Short Communication

Connection of Teeth with Body Organs

Rehana Younus Lakhani. 6(4): 05-08.

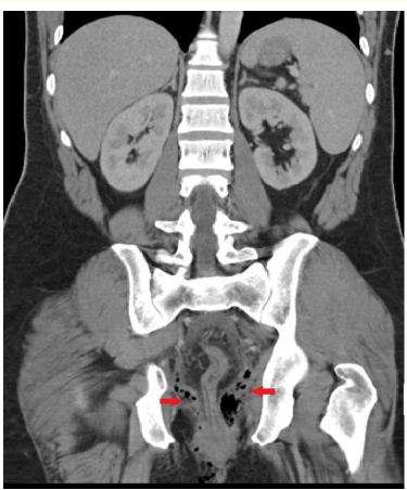
Short Communication

Seminal Vesicular Cyst: About 2 Case Report

Nizar Cherni, Abdallah Chaachou, Wael Ferjaoui*, Samir Ghozzi and Mohamed Dridi. 6(4): 85-87.