Volume 6 Issue 7

Guest Editorial

Editorial on the Universe is Mass/Energy

Phil Harris. 6(7): 40.

Research Article

The EW Peptide Regulates Gene Expression and HIF1α Protein Synthesis in Patients with Diabetic Foot

Vladimir Khavinson, Natalia Linkova, Svetlana Trofimova, Natalia Fridman and Michael Petukhov. 6(7): 146-151.

Research Article

Anesthetic Protection of Endoscopic Ligation of Esophagus Varicose Veins

Tarasov AN, Shilov V Yu, Olevskaya ER and Levit AL. 6(7): 152-156.

Review Article

Artificial Intelligence: Applications and Effectiveness in the Healthcare Delivery System

Kevin D Pruitt, Nicholas A Kerna, ND Victor Carsrud, Hilary M Holets, Sudeep Chawla, John V Flores, Dabeluchi C Ngwu, Ijeoma Nnake, Uchechukwu C Okoye, Cornelius I Azi , Kehinde Tolulope Olaleye and Dorathy Nwachukwu. 6(7): 01-22.

Case Report

Ischemic Stroke due to Percheron Artery Occlusion: A Rare Post COVID-19 Complication

Khaoula Ben Ismail, Fatma Essafi, Ahlem Silini, Boudour Ben Dhia, Najla Ben Slimene, Imen Talik, Moez Kaddour and Takoua Merhbene. 6(7): 157-160.

Case Report

Successful Pregnancies in a Woman with Uterine Didelphys: A Case Report

Eweputanna LI, Otuka OAI, Ezirim EO, Okoye HC and Eke-Otuka UN. 6(7): 19-25.

Case Report

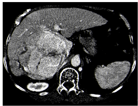
Solid Pseudopapillary Tumor of the Pancreas: A Case Report

Lamara Abdelhak, Medjahdi Sid Ahmed, Gadda Mounir, Boukhane Mohamed, Nahida Harchouche, Bloulou Mamed Lamine, Saadna Adlene and Selmani Khaled. 6(7): 12-18.

Case Report

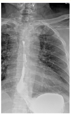
Diagnostic Assessment Score of Pulmonary Anthracosis: Review

Cuneyt Tetikkurt, Nejdiye Güngördü, Mert Savcı and Enes Furkan. 6(7): 41-48.

Case Series

Invasive Fungal Infection by Trichosporon asahii in Patients with Severe Covid-19: A Five Case Series

Larry Luber Martínez Rosado, Daniela Nader Lema, Marcos González Agudelo and Luis Felipe Higuita-Gutiérrez. 6(7): 01-08.

Short Communication

A Short Communication on Healthy Teeth

Rehana Younus Lakhani. 6(7): 09-11.