image

Journal Info

Journal : EC Clinical and Medical Case Reports
Current Issue : Volume 6 Issue 9 - 2023
Publication Date : September 01, 2023
Frequency : Monthly
Language : English
Type of Publication : Online
Review Format : Double Blinded Peer Review
Email : casereports@ecronicon.ukstrong>


Volume 6 Issue 9

Editorial

Functional Activity of the “Guest” Brain, Motility

Trubitsyna IE, Tarasova TV, Papysheva LD, Rud M, Vorobieva NN and Vinokurova LV. 6(9): 01-03.

Review Article

Potential Role of Butyrate Fermented in Aloe Vera Gel for Enough Sleeping as an Adjuvant

Akira Yagi, Megumi Hasegawa and Kosuke Shiba. 6(9): 01-05.

Case Report

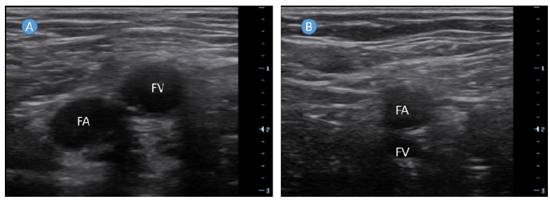
Femoral Arteriovenous Fistula Following Removal of Femoral Vein Catheter: A Case Report

Zhiming Zhang, Yuan Qin and Huidan Ouyang. 6(9): 01-03.

Case Report

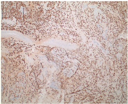
Rare Presentation of Metastatic Lobular Mammary Carcinoma to the Orbit

F Rhana Mousavi, Mina Bekheit, Nick A Hirad, Nicki Hirad and Abanoub Gabra. 6(9): 01-05.

Case Report

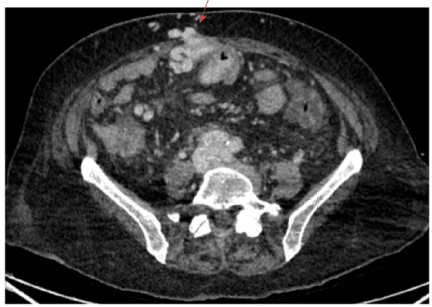
A Rare Cause of GI Bleed in a Patient with Liver Cirrhosis

Nauman Muhammad Tahir, Lehal Kiran, Wing Yan Liu and Nwe Ni Than. 6(9): 62-66.

Case Report

Severe Acute Pancreatitis and Behcet’s Disease (Case Report)

S Saadaoui, A Erragh, S Chaabi, M Louardi, S Benhamza, M Lazrak and N Elharrar. 6(9): 01-04.

Case Study

Rotator Cuff Reactive Tendinopathy Related to Covid-19 Vaccine Administration: A Case Study from a Physiotherapy Perspective

Collins Ogbeivor, Khawar S Siddiqui, Hamad AlKartani and Nouf Aldhwayan. 6(9): 01-07.