image

Journal Info

Journal : EC Clinical and Medical Case Reports
Current Issue : Volume 7 Issue 3 - 2024
Publication Date : March 01, 2024
Frequency : Monthly
Language : English
Type of Publication : Online
Review Format : Double Blinded Peer Review
Email : casereports@ecronicon.ukstrong>


Current Issue

Review Article

Is JN.1 a New Covid-19 Variant, or is RSV the Latest Variant?

Almoez LeDin Ellah MS Eltouny. 7(3): 01-05.

Review Article

The Treatment of Breast Cancer Using Vibrational Herbal Medicine Revisited

Almoez LeDin Ellah MS Eltouny. 7(3): 01-09.

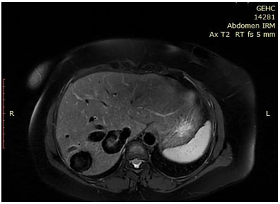
Case Report

Intrahepatic Portosystemic Venous Shunt: A Case Report

M Jaddour, K Imrani, N Moatassimbillah and I Nasser. 7(3): 01-04.

Case Report

Prolapsed Polyp through Anus Unveiling Sinister Pathology: An Uncommon Presentation of Polyposis Syndrome

Sanjeev Kumar Sharma, Shristy Sharma, Gaurav Parmar, Kulwant Singh, Anil Dutt and Manjeet Kumar. 7(3): 01-04.

Case Report

Cystic Lymphangioma: Study of a Rare Case with Double Localization in the Mediastinum

Btissam Benabderrazik, Asmae Rais, Nizar El Bouardi, Amal Akammar, Meryem Haloua, Youssef My Alaoui Lamrani, Meryem Boubbou, Mounia Serraj, Bouchra Amara, Ouadnouni Yassine, Smahi Mohamed, Mustapha Maaroufi and Badreddine Alami. 7(3): 01-06.

Case Report

Herpes Simplex Virus Encephalitis After mRNA-Based COVID-19 Vaccination: A Case Report

Jinyoung Oh, Sun Ki Min, Jeong Yeon Kim and Seong Ho Jeong. 7(3): 01-03.