Volume 9 Issue 6

Research Article

ST-Elevation Myocardial Infarction in Patients with COVID-19: A Single’s Centre Experience

Ilenia Alessandra Di Liberto, Gerlando Pilato, Salvatore Geraci, Diego Milazzo, Giovanni Vaccaro and Giuseppe Caramanno

Research Article

Stroke Types, Risk Factors and their Prevalence in Sudan from October to December 2019

Tagwa Kamil SeedAhmed Ali and Alaa Tajeldeen Habeeb Abdallah

Case Report

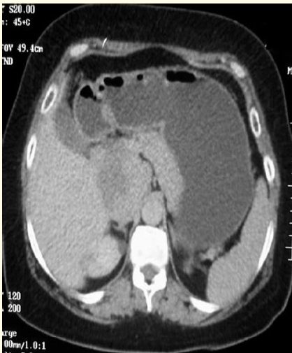
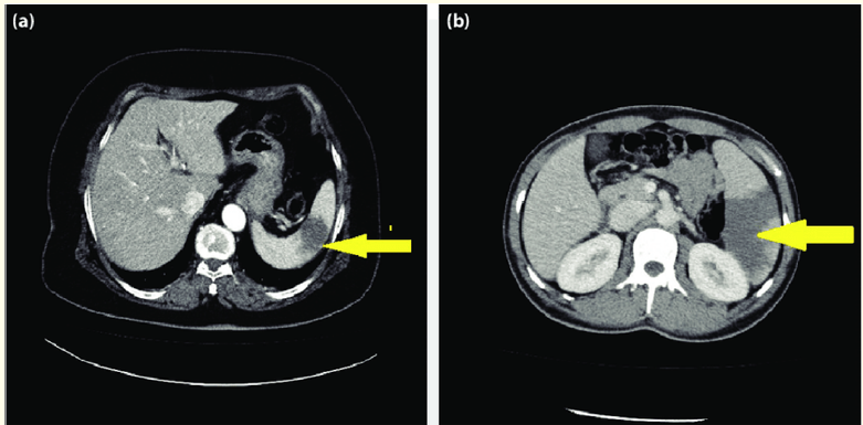
A Rare Case of Atrial Myxoma Presenting with Splenic Infarction

Salah Al-Shami, Eman Abdul Rahman, Ahmed Al-Byouk, Montaser Nabulsia, Mohammed Shubair, Bader Shubair, Mohammed Eleyan and Khalid Matar

Case Report

Leiomyosarcoma of the Inferior Vena Cava Diagnosis and Treatment: Case Report

O Belmaachi, K Farahi, S Lyazidi, A Adaoui, O El Allam and Y Ettaoumi

Case Report

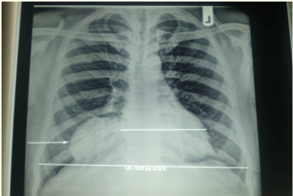
A Rare Giant Pericardial Cyst with Atypical Clinical Presentation- A Case Report

Dabeluchi Chiedozie Ngwu and Nicholas A Kerna