Volume 21 Issue 9

Research Article

Effect of Delayed Polymerization of Dual Composites on Class II Restorations: An SEM Study

Suneeth Shetty, Maruthi Gupta and Sunil Tejaswi

Mini Review

Dental Fluorosis and Oxidative Stress

Fatima Del Muro Casas, Gloria Martha Álvarez Morales, Nelly Alejandra Rodríguez Guajardo, Juan Carlos Medrano Rodríguez and Juan Manuel Solis Soto

Case Report

Bosma Arhinia Microphthalmia Syndrome: A Rare Case

Abdelali Halimi, Loubna Bahije, Choumi Faissal, Alae Guerrouani, Mohamed El-Okeily, Hicham Benyahia and Fatima Zaoui

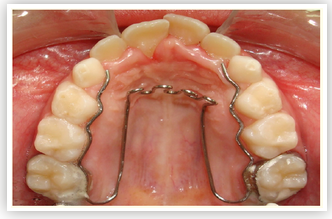
Commentary

The Palatal Expander with a Crib: An Alternative to Stop Sucking Habits

Vanessa Santana, Glaucio Serra and Julio P Cal-Neto