Volume 22 Issue 1

Editorial

AI Applications in Dentistry

Amir Chater. 22(1): 01-02.

Research Article

Application of Student Standardized Patients Combined with Problem-Based Learning Teaching Method in Standardized Training of General Dental Residents

Zejian Li, Chunting Lu, Zhanyu Huang, Andong Fan, Chunlei Zhang and Dan Wang. 22(1): 15-23.

Research Article

Infrared Laser Therapy Effectiveness Evaluation in Temporomandibular Disorders Using Electromyography - A Preliminary Study

Fernando Antônio de A Arnaud, Pedro Cardoso Soares, Martha Marques Ferreira Vieira and Luciane Hiramatsu Azevedo. 22(1): 36-45.

Research Article

Different Approaches for Managing Oro-Dental Problems by the Public during the COVID-19 Lockdown Period

Albaraa Balamash*, Abdulelah Alwuthaynani and Maysoon Albahiti. 22(1): 100-113.

Review Article

Periapical Cysts: Diagnosis and Treatments

Rouggani Fatima Zohra, Mayou Rachida, Belkamel Ayoub and Dakkaki Jalila. 22(1): 24-35.

Review Article

A Regenerative Approach for Management of Peri-Implantitis

Mohamed Hany Ahmad Fouad*, Abrar Abdrabalameer Almarzouq, Ahmed Mosa Alharbi, Ali Madhah Alshehri, Areej Ali Alhaddad, Afrah Ahmed Alkhars, Mohammed Hashem Aboalrahi, Bader Kazem Bader Aleid, Abdulrahman Moedh Alqhtani, Arafa Ali Al Mahroos, Fatimah Hassan Almubarak, Wael Abdullah Alshehri, Abdulaziz Mohammad Namsha, Amal Kamal Jumaymi and Wael Ahmed Khumayes. 22(1): 46-54.

Review Article

A One-Drill System for Predictable Osteotomy and Immediate Implant Placement

Leon Chen, Niq Chen, Aleq Chen, Audree Chen, Nina Chen, Nasdaq Chen and Jennifer Cha. 22(1): 114-128.

Review Article

Biomarkers: Carving a Niche in Personalized Periodontics

Vishnusripriya J, Anil Melath, Saicharan G and Salma Arif. 22(1): 57-62.

Review Article

Biosmart Material in Operative Dentistry

Mohamed Hany Ahmad Fouad and Sawsan Badr Jaber Ishaq. 22(1): 91-99.

Review Article

Caries Starts on the Surface of the Tooth

Siniša Franjić. 22(1): 156-162.

Review Article

Diseases Affecting Both Skin and Oral Mucosa

Bashar Helail and Abobakr Fahdawi. 22(1): 163-170.

Opinion

Clinical Tips in Dentistry

Ahmed MH Abdelfattah Raghdan. 22(1): 55-56.

Case Series

Freedom from the Frenum: The Journey So Far

Salma Arif, Anil Melath, Subair K, Nanditha Chandran and Vishnu Sri Priya. 22(1): 129-135.

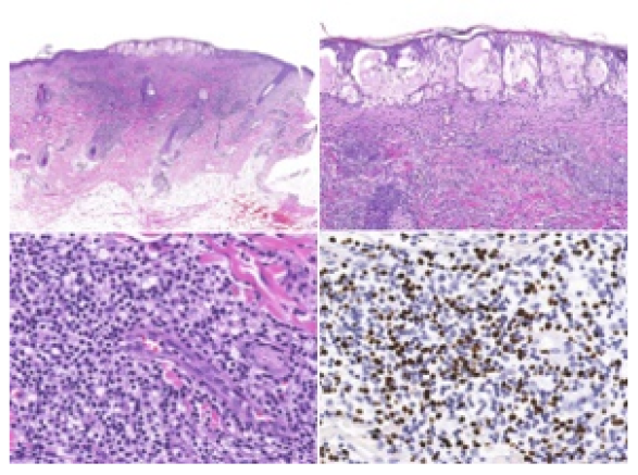
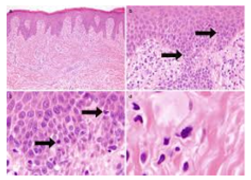
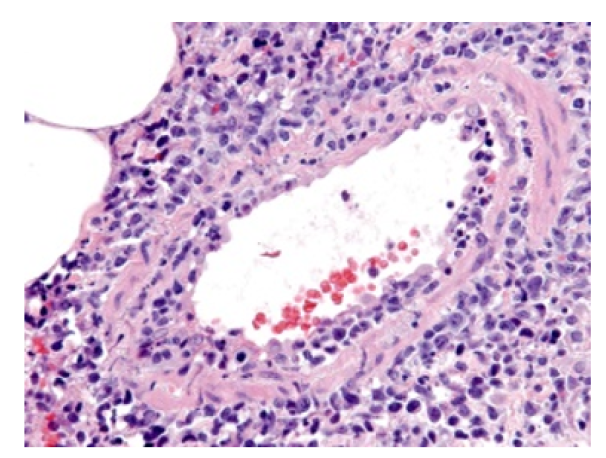
Commentary

Gyration and Curlicue-Sézary Syndrome

Anubha Bajaj. 22(1): 136-142.