EC Dental Science

Impact Factor: 2.746

image

Journal Info

Journal : EC Dental Science
Current Issue : Volume 22 Issue 10 - 2023
Publication Date : October 01, 2023
Frequency : Monthly
Language : English
Type of Publication : Online
Review Format : Double Blinded Peer Review
Email : dental@eeecronicon.ukrong>

Current Issue

Research Article

Do Dentists and Dental Students have the Appropriate Attitudes and Ability to Practice for Geriatric Patients in Saudi Arabia?

Arwa Alzahrani, Ohud Almoudahi, Nehal Alahmadi, Shatha Al-Shibani, Bashair Aljubairy, Safaa Farhat, Ameena Banjar, Abdulrahman Khaleel and Ismail Abdouh. 22(10): 01-10.

Review Article

The Current Applications and Efficacy of Stem Cells in Dentistry

Leonard B Goldstein and Dalena Ha. 22(10): 01-06.

Mini Review

Dental Clinics: A Potential Health Center for Screening of Undiagnosed Type II Diabetes

Farzeen Tanwir, Bushra Ijaz and Tauqeer Bibi. 22(10): 01-04.

Conceptual Paper

Dental Education

Asaad Javaid Mirza and Mohammad Amin. 22(10): 01-03.

Short Communication

Pictorial Representation of Fabrication of a Complete Denture for Clinical Undergraduate Students-A Study Article

Kalamalla A Saran Babu, Poojitha Y, Sunke Anuradha and Malathi Bobbala. 22(10): 01-06.

Commentary

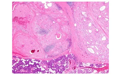
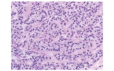
Tack and Permute-NUT Sinonasal Carcinoma

Anubha Bajaj. 22(10): 01-05.

Review Article

How Large Language Models Can Be Used in the Field of Orthodontics

Shubhangi Mani, Ankita Khurdal, NG Toshniwal and Sumeet Mishra. 22(10): 01-03.

Research Article

Analysis of Smile Patterns and Upper Lip Curvatures in Three Different Races and Gender in AIMST University Dental Centre, Malaysia

Erry Mochamad Arief, Kaneesha A/P Chandrasekaran, Kartikeya A/L Sridharan, Keshavani A/P Tanabalan, Khoo Jo Yee and Muhammad Iftikhar Hanif. 22(10): 01-08.

Conceptual Paper

The Wiry Wen-Sclerosing Polycystic Adenoma

Anubha Bajaj. 22(10): 01-04.