Volume 22 Issue 7

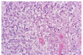
Editorial

The Diminutive Seepage-Micro-secretory Adenocarcinoma

Anubha Bajaj. 22(7): 113-117.

Research Article

A Cephalometric Study to Establish the Relationship of the Occlusal Plane to Various Craniofacial Structures in a Moroccan Population

El Mdaghri Meriem, Bennani Anas, Alfidi Jamila, Ait Ben Bouazza Khadija and Ousehal Lahcen. 22(7): 46-57.

Research Article

Gingival Retraction Techniques: Epidemiological Study among Dentists in Casablanca

Houda Moussaoui, Sara Benfaida, Chaimaa Hellal, Khadija Hasnaoui, Mouna Hamza and Anas Bennani. 22(7): 20-29.

Research Article

A Knowledge and Perception about Artificial Intelligence (AI) among Dental Practitioners in North India: A Questionnaire Study

Khyati Arora, Navneet Kaur, Gurpreet Kaur, Jasmanjot Kaur and Lakshbir Singh. 22(7): 58-69.

Research Article

Role of CBCT in the Success of BSSO in Patients with Thin Ramus

Thenaruvi Marimuthu. 22(7): 71-73.

Research Article

Pre and Postoperative Change in Dentin Thickness of Danger Zone in Mandibular 1st and 2nd Molars: A Cross-Sectional CBCT Study

Tariq Muhammed Aqili, Abdulmajeed Abdulaziz Baik, Abdulbari Saleh Aljohani and Muhannad Mohammed Hakeem. 22(7): 79-87.

Research Article

Evaluation of Skeletal and Airway Volumetric Changes After Rapid Maxillary Expansion in Children Suffering from OSA - A Three-Dimensional Study

Kritika Kanwar Butta, Utsavraj Butta, Sanjeevani Ratti and Priyanka Basu. 22(7): 101-112.

Review Article

Association of CD4 Count and Clinical Manifestations of Oral Lesions in HIV+ Children

Satyawan Damle and Dhanashree Sakhare. 22(7): 131-141.

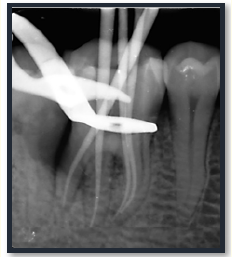
Case Report

A Step-Ladder Approach for Management of Perio-Endo Lesion of a Radix Entomolaris: A Case Report

Sharayu Dhande, Nain Kharbe and Tejas Nalawade. 22(7): 30-40.

Case Report

Glowing Implants: Enhancing IPG-DET with UV Activator and Growth Factors Technique: A Case Report with a Follow-Up

Yiannis Trigkas, George K Kefalidis, Giannis Boukis, Akis Alevizos, Nicolò Scaglia, Andrias Kassouha, Thanos Nikitopoulos, Alaa Abu Shareia and Ioannis P Georgakopoulos. 22(7): 88-100.

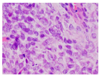
Commentary

A The Stringy Emend-BCOR Rearranged Sarcoma

Anubha Bajaj. 22(7): 41-45.

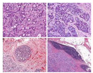
Commentary

Teensy and Orbed-CIC Rearranged Sarcoma

Anubha Bajaj. 22(7): 01-05.