Volume 22 Issue 8

Editorial

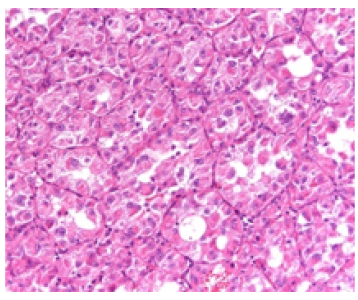
Bounteous and Roseate-Alveolar Soft Part Sarcoma

Anubha Bajaj. 22(8): 01-06.

Research Article

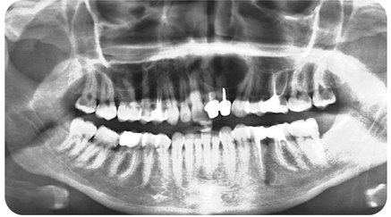
DD MRI (Dental-Dedicated MRI) as a Diagnostic Tool for Endodontics and Periodontics Lesions. A Literature Review

Mohamed Hany Ahmed Abd ElGhany, Bander Hassan Mohammed AlFaifi,Ohud Hassan Q Alfaifi, Nora Tariq M Sagga, Eman Mohammed Albisher, Mohammed Mousa M Alfafi, Awahd Ahmed Alasiri, Yahya Hassan Y Assiri, Mohammed Nabiel F Abugazalah, Ahmad Suliman H Alfaify, Abdullah Saeed A Al Humudh, Sultan Ibrahim S AlHifzi, Fawaz Dhafer A Alshehri, Alzahrani, Abdulkarem Moaid J, Hani Awad M Al Asmari, Faisal Mohammed Alqahtani and Alraga Fouad Mohammed A. 22(8): 01-12.

Research Article

The Prevalence of Burnout among Healthcare Students during COVID-19 Pandemic in Makkah City: A Cross-Sectional Study

Layan Saad Al-Hemayed, Rahaf Moneer Al-Otaibi, Duaa Yousef Bugis, Hoda Fansa, Mona Rajeh and Wehdan Elkwatehy. 22(8): 01-11.

Research Article

Correlation of Chronic Periodontitis and Stress Hormone: A Correlative Study

Sital Jain, Nischal Das, Anupam Deka, Swarga Jyoti Das. 22(8): 01-10.

Research Article

Comparison of Locking Versus Conventional Mini Plates in the Treatment of Mandibular Fractures

Thenaruvi Marimuthu, Vandana Shenoy K, Pradeep Christopher J and Senthil Kumar K. 22(8): 01-18.

Case Series

Difficulties of Endodontics Access Treatment and its Challenges: A Case Series

El Kharroubi Soukaina, Dhoum Sara, Doumari Bouchra, Drouri Sofia and Laslami Kaoutar. 22(8): 01-12.

Mini Review

LSTR - A New Technique for Treating Deciduous Teeth with Pulpal Infections

Harsh Kumar Thakur, Shruti Kumari, Navratan Kumar Singh and Nilotpol Kashyap. 22(8): 01-04.

Mini Review

Mental Health in the Family Environment and its Impact on the Experiences of Dental Care in Pediatric Dentistry

Maria Cleide Tenório Gomes de Aguiar, Niedje Siqueira de Lima, Maria da Conceição de Barros Correia, Zilma Ribeiro do Nascimento, Leonardo Cavalcanti Bezerra dos Santos, Rosa Maria Mariz de Melo Sales Marmhoud Coury, Criseuda Maria Benício Barros, Kátia Maria Gonçalves Marques, Dayvson Silva dos Santos and Luciana de Barros Correia Fontes. 22(8): 01-03.

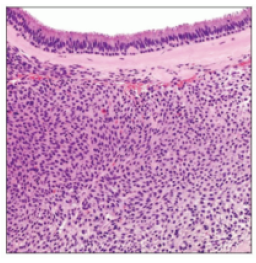
Commentary

Spittle and Aqueduct-Salivary Duct Carcinoma

Anubha Bajaj. 22(8): 01-04.

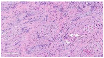
Commentary

The Arced Proboscis-Sinonasal Glomangiopericytoma

Anubha Bajaj. 22(8): 01-04.