image

Journal Info

Journal : EC Emergency Medicine and Critical Care
Current Issue : Volume 7 Issue 4 - 2023
Publication Date : April 01, 2023
Frequency : Monthly
Language : English
Type of Publication : Online
Review Format : Double Blinded Peer Review
Email : emergencymedicine@ecronicon.ukstrong>


Current Issue

Research Article

Is there a Place to Sulodexide in Critically Ill COVID-19 Patients? A Prospective Interventional Clinical Trial

Khaoula Ben Ismail, Boudour ben Dhia, Fatma Essafi, Najla Ben Slimene, Imen Talik, Meriam Chkirbene, Taheni Jerbi, Moez Kaddour and Takoua Merhbene. 7(4): 26-32.

Research Article

Severe Acute Pancreatitis in the Intensive Care Unit for Surgical Emergencies

Anas Erragh, Deyaa Ghali Mejd, Mohamed Aziz Bouhouri, Afak Nsiri, Driss Hammoudi, Khalid Khaleq and Rachid Alharrar. 7(4): 01-07.

Review Article

Development of Telemedicine in Kazakhstan

Muratbek Saiynov, Aigul Kulniyazova and Bahytzhan Alimov. 7(4): 19-25.

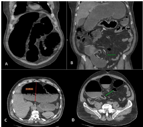
Case Report

Beak and Whirl Sign: A Hallmark of Sigmoid Volvulus

Hajar Zebbakh, Zakaria Toufga, Abir Lemrabet, Aziz Hommadi and Jamal El Fenni. 7(4): 15-18.

Case Report

Cement Burn Leading to the Amputation of the Lower Leg

Ekkehard Pietsch. 7(4): 33-36.