Volume 10 Issue 2

Editorial

Application of High Intensity Laser in the Treatment of Chronic Anal Fissure

Denisenko NV, Gain Yu M and Denisenko Valeriy L. 10(2): 52-53.

Research Article

Biliary Vs Non-Biliary Risk Factors of Development of Acute Necrotizing Pancreatitis as a Sequel of Acute Pancreatitis Episode in a Tertiary Care Center

Mahdi Albander, Naseem Abusharifa, Razan Alomar, Reema Alsogair, Rahaf Alghannam, Deem Alkalid3 and Aljohrah Alanazi. 10(2): 18-27.

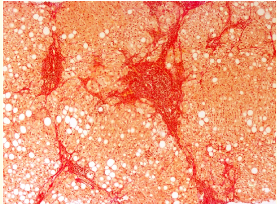
Research Article

Liver Fibrosis in Non-Alcoholic Fatty Liver Disease: Motor Function of the Gastrointestinal Tract and Biliary Tract

Lychkova AE, Khomeriki SG, Ashrafova TR and Puzikov AM. 10(2): 28-33.

Review Article

A Stem Cells and Intestinal Microbiome

Álvaro Zamudio Tiburcio, Héctor Bermúdez Ruiz and Silverio Alonso López. 10(2): 01-13.

Case Report

Diabetic Glycogenosis or Mauriac Syndrome: A Case Report

S Driouiche, L Maghraoui, R Bounur, M Lahlali, A Lamine, N Lahmidani, A Elmekkoui, M ELyoussfi, D Benajah, M ELabkari, A Ibrahimi and H Abid. 10(2): 14-17.