Volume 10 Issue 4

Editorial

Imaging of Evacuation: A Never Ending Graphic Novel

Vittorio L Piloni. 10(4): 56-57.

Case Report

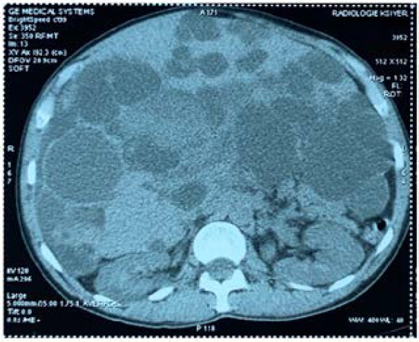
A Rare Case of Infected Isolated Polycystic Liver Disease Presenting Jaundice and Ascites

W Hliwa, I Jbara, F El Rhaoussi, M Tahiri, F Haddad, A Bellabah and W Badre. 10(4): 37-40.

Case Report

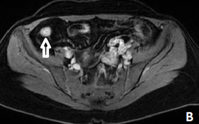
Tailgut Cyst with a Neuroendocrine Tumour

Kaiomarz Balsara, Khojasteh Dastoor, Asif Gazi and Shailee Prabhu. 10(4): 12-15.

Case Report

Peristomal Pyoderma Gangrenosum in Crohn’s Disease: Case Report

W Hliwa, M Ettachfini, S Banani, F El Rhaoussi, M Tahiri, F Haddad, A Bellabah and W Badre. 10(4): 50-55.

Mini Review

What is Required to have Super Donors of Microbiota?

Álvaro Zamudio Tiburcio, Héctor Bermúdez Ruiz and Silverio Alonso López. 10(4): 32-36.

Mini Case Study

The Fat Halo Sign: A Valuable Imaging Tool for Diagnosing Crohn’s Disease

Yassine Zerhari, Asaad El Bakkari, Hatim Essaber, Soukaina Allioui, Hounayda Jerguigue, Youssef Omor and Rachida Latib. 10(4): 21-23.