Volume 10 Issue 5

Research Article

Predictive Value of Risk Scoring Systems in Predicting Clinical Outcomes and Intervention in Patients with Nonvariceal Upper Gastro-Intestinal Bleeding

Nacer Sara, Tahiri Mohamed, Said Asmaa, El Rhaoussi Fatima-Zahra, Haddad Fouad, Hliwa Wafaa, Bellabah Ahmed and Badre Wafaa. 10(4): 41-46.

Research Article

Correlation Between Individual Mayo Score Variants in Precision-Based Assessment and Monitoring of Ulcerative Colitis amongst Susceptible Populations

Tomislav Tasic, Grgov S, Bjelakovic G, Radovanovic Dinic B2 and Grgov I. 10(3): 26-38.

Research Article

Abdominal Pain in Students: Prevalence, Phenotypes and Associations

Olga V Gaus, Maria A Livzan and Denis V Turchaninov. 10(5): 30-39.

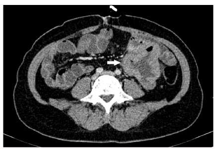
Mini Case Study

A Case of Small Bowel Lymphoma in a Patient with a History of Parotid Melanoma

Ennmer Mohammed, Elbakkari Asaad, Zerhari Yassine, Essaber Hatim, Omor Youssef and Latib Rachida. 10(5): 01-02.