image

Journal Info

Journal : EC Gastroenterology and Digestive System
Current Issue : Volume 10 Issue 7 - 2023
Publication Date : July 01, 2023
Frequency : Monthly
Language : English
Type of Publication : Online
Review Format : Double Blinded Peer Review
Email : gastro@ecronicon.ukstrong>


Current Issue

Research Article

Endoscopic Severity Factors during UC: The Place of the UCEIS Score

Manal Cherkaoui Malki, S Mechhor, H Elbacha, N Benzzoubeir and I Errabih. 10(7): 01-05.

Research Article

Treatment of Eosinophilic Esophagitis: Adherence, Response, and Events Effects

Alejandro Raúl Gratacós Gómez, Alberto Palacios Cañas, Jaime Vinicio Meneses Sotomayor, Miriam Clar Castelló, Stephanie Bracamonte, Alba Extremera Ortega, Jesus Mª Borja Segade and Elisa Gómez Torrijos. 10(7): 01-04.

Literature Review

The Importance of Safe Cholecystectomy

Jair Díaz-Martínez. 10(7): 20-24.

Case Report

Postoperative Painless Biliary Peritonitis in a Young Adult: Case Report

Haddad F, Raqi I, Bekkali K, Rhaousi FZ, Tahiri Joutei Hassani M, Hliwa W, Bellabah A and Badre W. 10(7): 25-29.

Mini Case Study

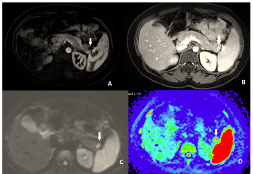
Intrapancreatic Accessory Spleen Masquerading as a Neuroendocrine Tumor

Yassine Zerhari, Hatim Essaber, Mohammed Ennmer, Asaad El Bakkari, Soukaina Allioui, Hounayda Jerguigue, Youssef Omor and Rachida Latib. 10(7):03-05.