Volume 9 Issue 11

Editorial

COVID-19 has Gone Quiet. Should We Calm Down?

Sayfutdinov Rafik Glimzyanovich. 9(11): 70-72.

Research Article

An Expanded View on the Importance of Early Diagnosis of Family Hypercholesterolemia

Zorzo RA, Honorato ALSC, Suen VMM and Liberatore RDR JR. 9(11): 01-05.

Research Article

Features of Clinical Manifestations Depending on the Concentration of Ethanol in the Blood of Children with Acute Alcohol Poisoning

LA Kovalenko, MG Ipatova, Sukhodolova GN and Radchenko Yu V. 9(11): 24-28.

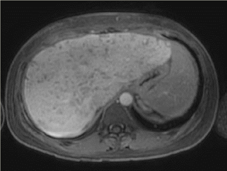
Case Report

Herpetic Hepatitis Resolution in an Immunocompetent Patient After Early Treatment with Acyclovir

Fernanda Cruz-Nunes, Vivian Rotman, Klaus Steinbrück, Reinaldo Fernandes and Rodrigo Luz. 9(11): 13-16.

Case Report

Tumors of the Gastrointestinal Stroma. Surgical Management and Tyrosinase Inhibitors (ITK)

Salvador Moreno Galeana, Adrián Regalado Aquino and Juan Carlos Rivera Martínez. 9(11): 63-69.