Volume 9 Issue 7

Research Article

Use of Ostomy with Orotracheal Tube: During Damage Control in Emergency Surgery

Hugo Fernando Valeguzki Lenzi, André Luiz Parizi Mello and Orli Franzon.

Research Article

Endoscopical Retrograde Cholangiopancreatography. A Big Success? Multicentre Study in México

Mara Luz Terán Estrella, Morelos Adolfo García Sánchez, Mireya De La Fuente González, Ramón Armando Sánchez Tamayo, Pamela Navarro Hernández5, Oscar Manuel Cedillo Torres, Miguel Fernando Juárez Moyrón, Imelda Yasmín Palma Cortés, Antonio Tonatiuh Uribe Wittingham, Cristián Andrés González Vargas, Ana Fernanda Aburto Mariano, Mauricio Israel Flores Pazos, Juan David Martínez Gómez,Oliver Guillen Diego, Carlos Arturo Martínez Martínez, Beatriz Huiyu Li Gómez and Ángel Flores Montiel.

Research Article

Colonic Crohn’s Disease: Epidemiological and Evolutionary Profile

B Bouibaouen, H Elbacha, M Cherkaoui Malki, N Benzzoubeir and I Errabih.

Research Article

Endoscopic Sleesve Gastroplasty Plus Semaglutide Versus Endoscopic Sleeve Gastroplasty Alone for Weight Loss: A Prospective, Randomized, Double-Blind, Placebo-Controlled Study

Anna Carolina Hoff, Zadid Haq2, Abdellah Hedjoudje, Manoel Galvao Neto, Luiz Gustavo de Quadros, Sergio Alexandre Barrichello, Gabriel Cairo Nunes and Dilhana Badurdeen

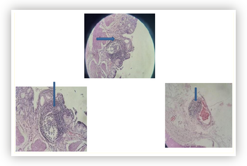
Case Report

A Rare Case of Follicular Cholecystitis with Cholelithiasis

Menka Kapil, Maryem Ansari and Ram Daga.

Retrospective Study

Risk Factors for Primary Surgery in Crohn’s Disease

EM Choukri, SR Jai, A Hajri, I Erreguibi, R Boufettal, F Chehab, S Nacer, F Haddad, FZ El Rhaoussi, M Tahiri, W Hliwa, A Bellabah and W Badre.