Volume 9 Issue 8

Research Article

Primary Closure of the Colon and Rectum in Emergency Surgery. Is it a Paradigm?

Imelda Yasmin Palma Cortes, Morelos Adolfo Garcia Sanchez, Mireya De La Fuente Gonzalez, Maria Judith Chaires Cisneros, Ramón Armando Sanchez Tamayo, Maria Isabe Estrada Rodriguez, Jorge Luis Torres Castaneda, Miguel Fernando Juarez Moyron, Jose Luis Peralta Lopez, Cristian Andres Gonzalez Vargas, Jennifer Itze Jacobo Godinez, Mario Enrique Castro Ugalde, Astrid Ortiz Vargas, Mauricio Israel Flores Pazos, Mariana Gonzalez Valiente, Adolfo Garcia Ramirez and Carlos Alberto Martinez Cordero.

Research Article

Real Time Artificial Intelligence-Aided Colonoscopy Experience: The Impact on Routine Clinical Practice in a High-Volume Center

Simona Agazzi, Chicco F, Scudeller L, Marzo V, Rosa C, Rossi G, Guizzetti GG and Alvisi C

Review Article

Arterial Hypertension, Type 2 Diabetes Mellitus, Microbiota Transplantation and its Generics

Álvaro Zamudio Tiburcio, Héctor Bermúdez Ruiz and Silverio Alonso López

Case Report

Intussusception: A Rare Cause of Acute Abdomen in the Adult

Dabeluchi C Ngwu, Maraya Camazine and Nicholas A Kerna

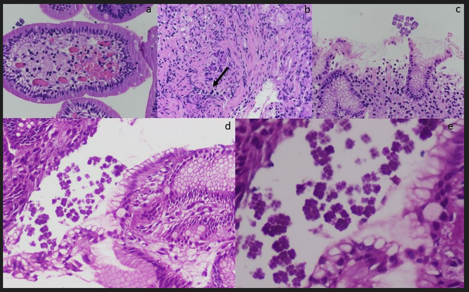
Case Series

Sarcina ventriculi Related Gastritis with Varying Clinical Presentation: A Report of Three Cases with Short Review

Chandan Chowdhuri, Pritinanda Mishra, Subash Chandra Samal, Mohammed Imran Chouhan and Susama Patra