Volume 12 Issue 2

Guest Editorial

Infertility - An Emerging Issue in Reproductive Health in Nepal

Sharad Raj Onta. 12(2): 01-02.

Research Article

Research on Sexual Passion of Middle-Aged and Elderly Women

Zha Jianzhong and Li Songlin. 12(2): 03-11.

Research Article

Association Between Maternal C677T (rs180113) Polymorphism and Neural Tube Defects in Villa Clara, Cuba: A Population-Based Study

Noel Taboada Lugo, Manuela Herrera Martínez, Raúl Pablo Ferreira Capote, Luis Enrique Almaguer Mederos, Teresa Collazo Mesa and Manuel Gómez Martínez. 12(2): 31-41.

Review Article

Anti microRNA in Ovarian Cancer: A Short Review

Henny Meitri Andrie Rachmasari Putri, Heru Pradjatmo and Sofia Mubarika Haryana. 12(2): 12-24.

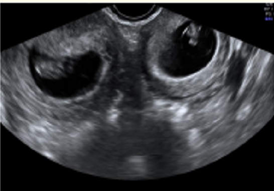
Case Report

A Rare Case of a Twin Pregnancy in a 27 Year Old Patient with Uterus Didelphys

N Usman, Nageen Naseer, S Anwar, R Sallam and T Hayes. 12(2): 26-30.

Research Protocol

Neurotransmitter Content in Women with Polycystic Ovary Syndrome

Simrok VV and Melnikova DV. 12(2): 27-30.