Volume 12 Issue 3

Research Article

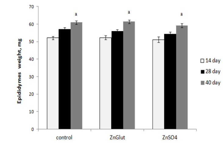
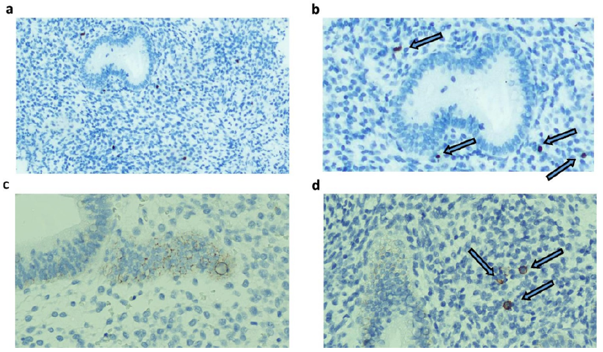
A Comparative Study: Bioavailability and Effect of Organic and Inorganic Zinc Compounds on Male Reproductive System

Oksana Shtapenko, Alla Madich, Vasyl Syrvatka, Oksana Slyvchuk and Yevhen Dzen. 12(3): 31-43.

Research Article

Energy and Macronutrient Content in the Immediate Postpartum Women’s Diet: A Cross-Sectional Study in a Brazilian Metropolis

Taciana Maia de Sousa, Paula Martins Horta, Larissa Bueno Ferreira and Luana Caroline dos Santos. 12(3): 62-70.

Research Article

Pregnancy Results with Male Adult-Onset Hypogonadotropic Hypogonadism

Yaprak Engin-Ustun, Nafiye Yılmaz, Nilufer Akgun, Ayla Aktulay, Ahmet Deniz Tuzluoğlu and Cavidan Gulerman. 12(3): 21-30.

Case Report

Giant Placental Chorioangioma Causing a Double Bubble in Diabetic Mother: Case Report

Amirsaleh Abdollahi, Pooria Salehi Sangani, Ali Gholibeigi, Mohamadjavad Shariatmadar and Marzieh Zamaniyan. 12(3): 01-05.

Opinion

Sensitivity of a Women towards her Own Health

Meetali Parashar. 12(3): 44.