Volume 12 Issue 5

Research Article

Prevalence of Postpartum Hemorrhage and Associated Factors. Case and Control Study at the General Hospital of La Huasteca, Hidalgo, Mexico

Ocampo-Torres Moisés, Contreras-Cruz Abraham, Quevedo-Azuara Mauricio, Hernández-Aquino Gastón, Bautista- Santiago Anaid, Lemus-Ogaz José Antonio, Gómez-Vásquez Juan Manuel, Araujo-Lechuga Dacil de María, Lazcano-Meneses Jesús, Ramírez-Almaraz Francisco Javier and Mancera-Pérez José Luis. 12(5): 16-24.

Research Article

The Effect of Birth Spacing on Maternal and Child Health in Al-Kalakla, Al-Gouba, Khartoum State 2022-2023

Khansa Salah Mirghani, Alaa Ahmed Mustafa Ali, Mathani Osman Oohamed Osman and Hanaa Turkey Abdelkareem Elhssien. 12(5): 37-46.

Research Article

Prevalence and Perception of Pupils towards Urinary Schistosomiasis in Ikwo Community of Ebonyi

Anorue Chioma Ogochukwu, Ugbo Isaiah Ogochukwu, Nweke Chijioke, Onyekwere Amos and Olabanji Ahmed Surakat. 12(5): 25-36.

Research Protocol

Genital Herpes in Women in the Southeast of the Caspian Sea, North of Iran: A Short Communication

Seyyede Delafruz Hosseini, Naeme Javid2, Hadi Ghaffari and Alijan Tabarraei. 12(5): 44-48.

Case Report

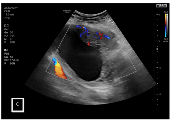
Large Uterine Fibroids with Cystic and Malignant Degenerative Changes Mimicking Ovarian Carcinoma: A Rare Case Report

Khadija Laasri, Kaouthar Sfar, Yahya El Harras, Nazik Allali, Siham El Haddad and Latifa Chat. 12(5): 01-07.

Case Study

Prolapsed Myoma: Case Presentation

Gomez D Jaider. 12(5): 11-14.

Mini Review

Low Progesterone: Gateway Event to Menopausal Symptoms?

Lasley Bill L and McConnell Daniel S. 12(5): 08-15.

Short Communication

Fertility Preservation

Pooja Saha. 12(5): 55-60.