Volume 14 Issue 12

Case Report

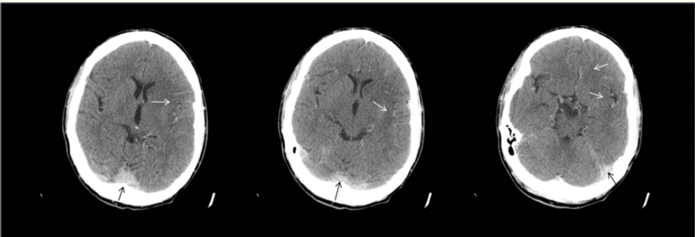
MRI Tractography Revealed an Unusual Brainstem Twisting in a Patient who Survived a Severe Traumatic Upper Spinal Dislocation

Calixto Machado, Jesus Perez-Nellar, Rafael Rodríguez-Rojas, Mauricio Chinchilla, Yanin Machado, Arthur Schift and Phillip A DeFina. 14(12): 09-12.

Perspective

A Brief Insight into Interaction Between the Brain and the World

Susumu ITO and Katsuhiko Hata. 14(12): 27-33.

Review Article

Causes, Consequences, and Differential Diagnoses of Spinal Muscular Atrophy (SMA)

Nicholas A Kerna, Hilary M Holets, Joseph Anderson II, Sudeep Chawla, ND Victor Carsrud, Kevin D Pruitt, Dabeluchi C Ngwu and John V Flores. 14(12): 34-51.