Volume 15 Issue 4

Editorial

Neuronal Connectivity and Non-Classical Brain Functions

William Winlow and Andrew Simon Johnson. 15(4): 45-47.

Research Article

Covid-19 Impact on the Mental Health Status of Health Care Workers in Jordanian Royal Medical Services

Ziad S Bataineh, Osama R Otoom, Saif A Jabali, Haneen A ALOmari, Mohammad H ALQudah, Ahmad O ALAzzam and Majdoleen S Alzghool. 15(4): 75-86.

Research Article

The Benefit of Vagus Nerve Stimulation in Patients with Refractory Epilepsy, Experience in a Latin American Center

Manuel Hernandez Salazar, Ramos Delgado Jose Miguel and Aguilar Trujillo Annette Aime. 15(4): 01-16.

Research Article

Stress Hyperglycemia as a Predictor for Outcome of Non-Diabetic Patients with Acute Cerebrovascular Disease - A Study of 490 Patients

Christiyan Naydenov, Ivan Mindov, Teodora Manolova and Antoaneta Yordanova. 15(4): 40-44.

Research Article

MRI Features of Brain and Spine in Patients Series with Mucopolysaccharidosis

Khadija Laasri, Abderrazzak Ajertil, Manal Jidal, Siham El Haddad, Nazik Allali, Abdeljalil El Quassar and Latifa Chat. 15(4): 53-69.

Literature Review

Screening Tools in Post-Stroke Delirium: Review of Literature

Todd Furr, Mohammad Abidali, Clifford Davis and Gautam Ullal. 15(4): 01-07.

Case Report

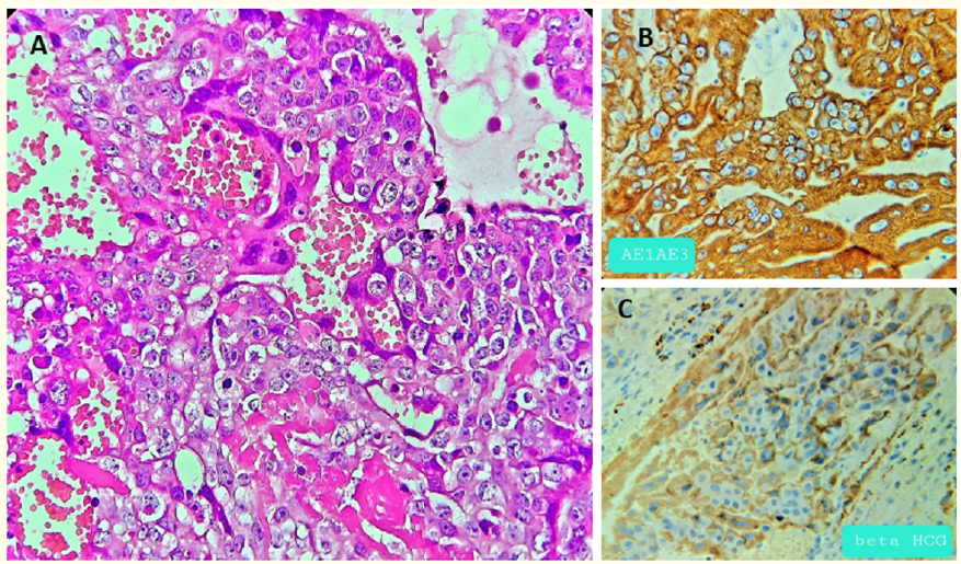
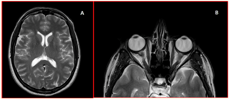
Brain Metastasis Revealing a Previously Unrecognized Gestational Choriocarcinoma: Case Report

Dognon Kossi François de Paule Adjiou, Nadia Cherradi, Hafsa El Ouazzani, Baba Alhaji Bin Alhassan, Thameen Jaradat, Salma Abbas, El Mehdi Hakkou and Abdessamad El Ouahabi. 15(4): 25-31.

Case Report

Pseudotumor Cerebri, the Elusive Diagnosis. A Case Report

Rocca Alda and Passarin Olga. 15(4): 08-14.

Perspective

Duchenne Muscular Dystrophy in Pediatrics: Updates on Management and Prognosis

Hamza Khaled Mohammad Alsalhi, Ibrahim Osama Ibrahim Elhaj and Nemer Mohammad Nader Nemer Ali. 15(4): 68-74.