Volume 15 Issue 5

Editorial

Chat GPT: A New Venture in Neurorehabilitation

Hitav Someshwar. 15(5): 01-02.

Research Article

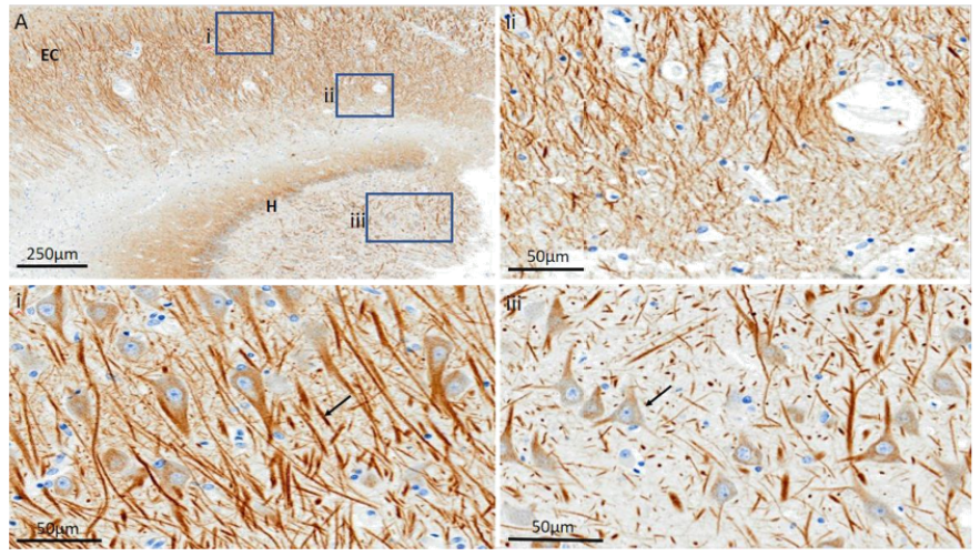
Expression Patterns of C-Menin and Cholinergic Synaptic Machinery in Human Autopsied Brains from Alzheimer’s and Controls

Anosha Kiran Ulfat, Shadab Batool, Jawwad Zaidi and Naweed I Syed. 15(5): 59-77.

Review Article

Implication of Physical Activity in Older Alzheimer Patients with Sleep Impairments

Oussama Gaied Chortane, Imen Ben Amar, Sofiene Amara, Yassmin Dhaouadi, Julien S Baker and Sabri Gaied Chortane. 15(5): 42-52.

Case Report

Holoprosencephaly Alobar: Contribution of Cerebral CT Scan in a Case Report

Khadija Laasri, Siham EL Haddad, Manal Jidal, Nazik Allali and Latifa Chat. 15(5): 53-56.

Case Report

Imaging Utility in the Diagnosis of Dejerine-Sottas Disease: Case Report

Halfi Mohamed Ismail, Zahi Hiba, Fikri Meriem, Jiddane Mohamed and Touarsa Firdaous. 15(5): 88-92.

Case Report

Atypical Location of Posterior Reversible Encephalopathy Syndrome (RPES): A Case Report

Anas Erragh, I Nabih, Y Hafiani, I Moussaid, S Elyoussoufi and S Salmi. 15(5): 36-38.

Case Report

Guillain-Barre Syndrome during Post-Partum Period: A Case Report

Anas Erragh, I Nabih, Y Hafiani, I Moussaid, S Elyoussoufi and S Salmi. 15(5): 39-41.

Case Report

Cerebral Hemorrhage Connected to Alveolar Echinococcosis: An Exceptional Case

Khalid Al Taha, Alda Rocca, Philippe Maeder and Jocelyne Bloch. 15(5): 93-99.

Case Report

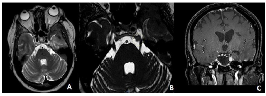
When Good Intentions Go Awry: A Case Study of Radionecrosis Detected by MRI

Hajar Zebbakh, Yassine Zerhari, Hatim Essaber, Asaad El Bakkari, Soukaina Allioui, Hounayda Jerguigue, Youssef Omor and Rachid Latib. 15(5): 119-121.

Case Report

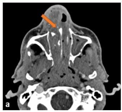
Inverted Papilloma: A Brain-Like Appearance in the Nose

N Amsiguine, S Habib Chorfa, F Touarsa, M Fikri, M Jiddane and N Kettani. 15(5): 115-118.

Case Series

Spinal Cord Stroke: Report of 2 Cases

Ana P Diego, Molina Silvia, Soto Jesica, Camps Fiorela and Scafidi Federico. 15(5): 84-87.

Review article

Effect of TDCS in Children with Autism

Srijamya, Harendra Kumar, Bhavya Mishra, Muhammad Wasil Khan, Mourya Jith Muraleedharan Nair, Ruba Nageh Mehany Hemaya and Nazia Mohammed. 15(5): 03-18.

Mini Case Study

Dural Metastasis Secondary of Papillary Thyroid Carcinoma

Ennmer Mohammed, Essaber Hatim, Zerhari Yassine, Elbakkari Asaad, Omor Youssef and Latib Rachida. 15(5): 82-83.

Clinical Image

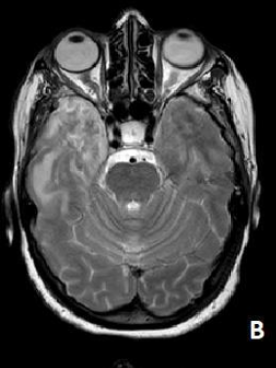
Uncommon but Unmistakable: A Case Report of Meckel’s Cave Meningioma

Siham Oukassem, Yassine Zerhari, Hatim Essaber, Asaad El Bakkari, Soukaina Allioui, Hounayda Jerguigue, Youssef Omor and Rachida Latib. 15(5): 57-58.