Volume 14 Issue 5

Guest Editorial

Intra-Ocular Pressure: A Short Review

P D Gupta. 14(5): 36-40.

Case Report

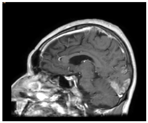
COVID-19 Induced Inflammatory Orbital Apex Syndrome

Deema Al Jneibi, Aruna Pujari Sirinivasulu and Sumayya Al Marzouqi. 14(5): 23-26.

Research Article

Window to Corneal Endothelium Health in Diabetics: Analysis with Specular Microscopy

Shreya Thatte, Ishita Batra and Sakshi Meshram. 14(5): 27-35.

Mini Review

Keeping an Eye on Corneal Abrasions

Felicia Marino, Jasmine Okafor, James F Keane and Leonard B Goldstein. 14(5): 41-44.