Volume 14 Issue 6

Guest Editorial

Can a Child with a Mbsie Eye Glasses Be Taken Off?

Wang Hongfeng and Wang Enrong. 14(6): 11.

Research Article

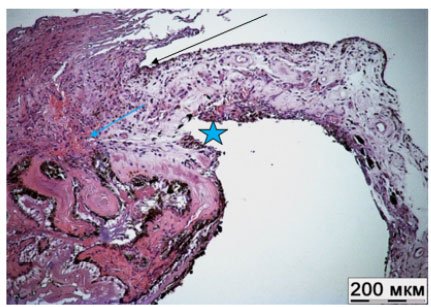
Pathogenetic Classification of Primary Angle-Closure Glaucoma

Bakunina NA and Balashova LM. 14(6): 25-32.

Research Article

The Effectiveness of Conjunctival Autograft in Surgery

Blerina Kambo. 14(6): 03-05.

Case Series

A Case Series on Patients Having Preoperative Non-with-the-Rule Corneal Astigmatism and Showing Failure of Visual Improvement After Pterygium Excision

Fathy Fawzy Morkos, Maged Maher Roshdy, Mona Fathy, Tamer Abdelfattah Badran and Rania Serag Elkitkat. 14(6): 06-10.