Volume 13 Issue 12

Research Article

Prevalence and Factors Associated with Musculoskeletal Disorders among Registered Nurses in Thailand

Withaya Chanchai, Chawalit Prathan, Songsit Srisua and Jetsada Kamfoei. 13(12): 03-11.

Research Article

Correlation Between Duration of Smartphone Usage and Forward Head Posture in Young Adults

Paranjape Swati and Palan Mansi. 13(12): 12-17.

Review Article

Evaluation and Management of Cervical Radiculopathy from Disc Herniation and Degenerative Disorders

Selvaraj Periyasamy, Prem James Charles and Ashwin Narasimhaprasad. 13(12): 18-27.

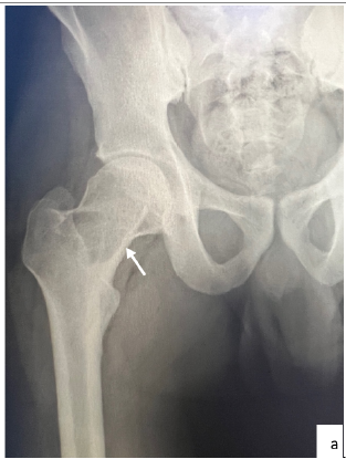
Case Report

Aneurysmal Bone Cyst in an Adult Patient Located in the Femoral Head and Neck; Positive and Differential Diagnosis

Andour Hajar, Zaizi Abderahim, Ben El Hend Salah, Fikri Abdelghani. 13(12): 28-32.