Volume 13 Issue 8

Research Article

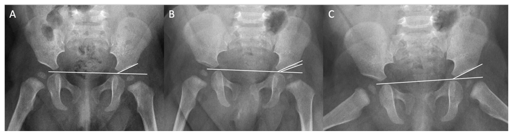
Frog-Leg Lateral Pelvic Radiographs are Reliable for the Measurement of Acetabular Index in Developmental Dysplasia of the Hip

Rachel S Silverstein, Lauren E Karbach, J Herman Kan, William A Phillips, Wei Zhang and Scott B Rosenfeld

Case Report

Hydatic Cyst of the Thigh: An Exceptional Location

El Mekkaoui Mohamed Jalal, Ghannam Abdelaziz, Boufettal Moncef, Bassir Reda Allah, Kharmaz Mohamed, Lamrani Moulay Omar and Berrada Mohamed Salah