Volume 14 Issue 4

Research Article

Prospective Open-Label Trial to Compare the Effect of LISS vs POLYAX Plating on Distal Femur Fracture among Elderly

Sheikh Khalid Nisar, Abhimanyu Wadhwani, Avtar Singh, Thorat Babaji, Mavani Ravi and Solakhe Sharad. 14(4): 17-23.

Research Article

Correction of Rigid Congenital Talipes Equiano Varus (CTEV) in Mature or Near Maturity Foot by Ilizarov External Fixator, Our Experience of 16 Cases

Mohammad Mohsin Javaid, Muhammad Zubair Javaid, Sana Zubair Javaid, Imtiaz Ahmed Shakir and Muhammad Iftikhar Hanif. 14(4): 24-31.

Short Communication

Biomechanics and Functionality of the Arches of the Feet

Gusyev Valentyn. 14(4): 01-03.

Case Series

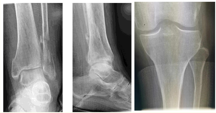
A Maisonneuve Like Bimalleolar Fracture: A Case Report

Ekkehard Pietsch. 14(4): 32-36.