Volume 11 Issue 7

Research Article

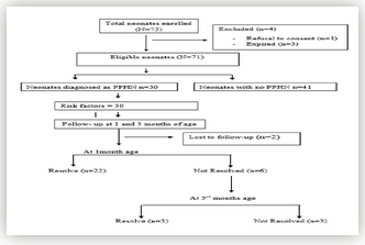
Risk Factors and Clinical Outcome of Neonate with Persistent Pulmonary Hypertension

Sagar Kumar Gupta, Mohammod Shahidullah, Sanjoy Kumer Dey, Sadeka Choudhury Moni, Mohammad Kamrul Hassan Shabuj, Ismat Jahan, Tahmina Karim, Chit Narayan Sah, Samjhana GC, Shimul Mandal and MA Mannan.

Research Article

Hepatobiliary System Lesions in Children with COVID-19. Literature Review and Own Observations

Sergiy Kramarov, Iryna Seriakova, Vitalii Yevtushenko, Liudmyla Palatna, Iryna Shpak, Valerii Shadrin, Nataliia Kyrytsia, Mariia Dudnikova, Hanna Zaslavska and Inna Grynevych

Review Article

Patient Safety and Surgical Errors: Review Article

Abdulnasser Ahmed Skheita

Case Report

Late Diagnosis of Cystic Fibrosis in a Child with a Negative Neonatal Screening Test

Priscila Camargos Dumont Costa and Tatyana Borges da Cunha Kock.

Case Report

Tuberculosis Revealing Niemann Pick Disease Type B in a Teenager

Amal Ouayad, Karima Elfakiri, Noureddine Rada, Ghizlane Draiss, Naima Fdil and Mohammed Bouskraoui.

Case Report

Hypernatremic Dehydration Due to Faulty Formula Milk Preparation is Not a history, A Case Report

Mahmoud Abu Zahra, Montaha Al-Iede, Enas Al-Zayadneh, Manar Al-lawama.

Case Report

Multisystem Inflammatory Syndrome (MISC) in Adolescent with Recent COVID-19 Infection. Case Report Study

Ioannis Drikos, Armodios Drikos, Argyrios Ioannidis and Alexandros Sachinidis.