Volume 11 Issue 9

Research Article

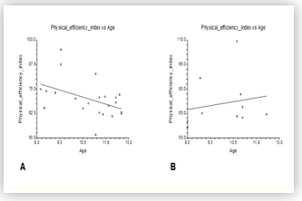
Effect of Sedentary Lifestyle on the Physical Efficiency Index in Schoolchildren with Obesity

Ma de la Cruz Ruiz-Jaramillo, Lourdes Belize Macías-Felipe, Mariana Getsemaní Pérez-Landeros, Gloria Valadez-Saavedra, Mónica Jazmín Osorio-Guzmán, María Isabel García-García and Jorge Luis Hernández-Arriaga

Research Article

Prevalence of Rotavirus among Children with Acute Gastroenteritis in Gadarif Hospital, Eastern Sudan

Mohammed Ahmed A Ahmed, Samia O Massaad, Amani Mustafa Elbadawi, Omer Elhory, Rabie A Babiker and Saeed M Omar

Case Report

Anesthesia for Fetus in Fetu with Difficult Airway, Skeletal Dysplasia and Hyperparathyroidism

Thuraya Abdullah, Yussra Solan, Muhammad J Ansari, Basmah Kaabi, Turki Al-Malki, Moteb Al- Otaibi and Essam Rabie

Case Report

Tonsillitis: Time to Think Outside the Box

Ahmed Elmelhat and Znar Osso

Case Report

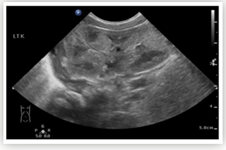
Ovarian Juvenile Granulosa Cell Tumor in Childhood: The Importance of Early Diagnosis. Case Report

Fatma Chebab, Aida Daib, Rabiaa Ben Abdallah, Malek Boughdir, Sameh Tlili and Nejib Kaabar.

Case Report

Challenges in Diagnosis and Treatment of a Child with Inflammatory Bowel Disease in Resource-Limited Setting - A Case Report

Garba Dayyabu Gwarzo, Muhammad F Bashir, Idris A Adedeji, Adamu S Adamu and Aisha Muhammad