Volume 12 Issue 7

Guest Editorial

Teenagers: Flowers to Water

Rubrica a Cura di Italo Spada. 12(7): 29-30.

Review Article

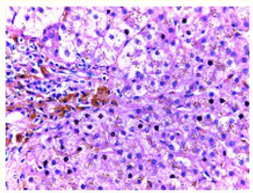
Recent Update in Diagnostic Evaluation of Hereditary Hemochromatosis

Jeevan Divakaran, Ila Chauhan, Jigar Katwala and Kandamaran Krishnamurthy. 12(7): 72-81.

Case Report

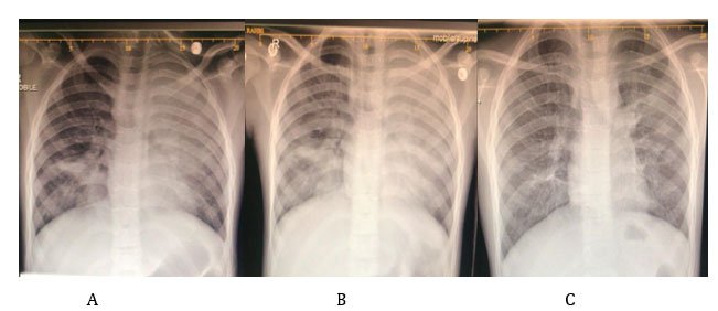
Mycoplasma pneumoniae in Children Beyond its Mild Presentation; A Case Report

Huda Al Habsi, Zakiya Al Rashdi and Hilal Al Hashami. 12(7): 69-72.

Research Article

Process Documentation of Post Introduction Evaluation of Rotavirus Vaccine in India

Rashmi Mehra, Arindam Ray, Veena Dhawan, Rhythm Hora, Seema S Koshal, Amrita Kumari, Amanjot Kaur, Syed F Quadri, Pradeep Haldar and Arup Deb Roy. 12(7): 22-28.

Case Report

Neonate with Persistent Thrombocytopenia: Challenge in Treatment

Manifa Afrin and Tumpa Saha. 12(7): 18-21.

Short Communication

The Forgotten of Neonatal Resuscitation

Salvatori Laetitia. 12(7): 16-17.