EC Paediatrics

Impact Factor: 2.124

image

Journal Info

Journal : EC Paediatrics
Current Issue : Volume 13 Issue 12 - 2024
Publication Date : December 01, 2024
Frequency : Monthly
Language : English
Type of Publication : Online
Review Format : Double Blinded Peer Review
Email : paediatrics@ecronicon.uk


Volume 13 issue 12

Guest Editorial

Inguinal Hernia Repair in Preterm Infants

Humberto Lugo-Vicente. 13(12): 01-03.

Research Article

Balloon Atrial Septostomy Guided by Echocardiography Versus by Fluoroscopy in Newborns

Israel Hernández-Corres, José Luis Colín-Ortiz, Elvia Patricia Concha-González, Froylán Hernández-Eduardo, Rigoberto Zamudio-Meneses, Yaneth Martínez-Tovilla, Ever Munive-Molina, Gabriela Yanneth Payan-Cruz, Esteban Porras-Aguilar, Leydi Guadalupe Soancatl-Rodríguez, Rubén Cholula-Alarid, Susan Jiménez-Molina and Natalia Fátima Morón-Frausto. 13(12): 01-09.

Research Article

Everyday Accidents of Children Under 15 in Libreville and its Surroundings

Mintsa Mi Nkama Edmée Léatitia Jacqueline, LT Midili, FC Loembe, A Mekame Meye, S Minto'o Rogombe, R Koumba Maniaga, A Lembet Mikolo, E Kuissi Kamgaing and S Ategbo. 13(12): 01-05.

Case Report

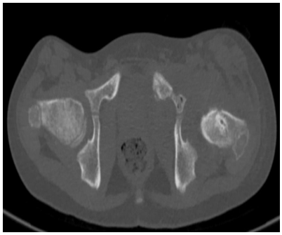
Hip Septic Arthritis: Complications Including Multiple Collections and Osteonecrosis

A Guennouni, C Abourak, S Bahha, S El Haddad, N Allali and L Chat. 13(12): 01-04.

Case Report

Abdominal Pain, a Rare Manifestation Revealing Takayasu's Disease: A Case Report

N Hazzab, B Khouadri, K Khabbach, Y El Boussaadni and A Oulmaati. 13(12): 01-04.

Case Report

Wiskott-Aldrich Syndrome: Case Report- Characteristics, Diagnosis, and Treatment Approaches for a Challenging Disease

A Radi, S Babour, C El Aoufir, A Laaraj, A Hassani and R Abilkassem. 13(12): 01-04.

Research Article

Epidemiological and Clinical Characteristics of Pediatric COVID-19: A Tertiary Care Study in AlAhsa, Saudi Arabia

Yameen A AlMatawah, Ahmed T Alomran, Fadi Nabih Busaleh, Zainab Hashem Alsadah, Heba H Alameer, Zahra A Al-moaibid, Heba J Alrebh, Qasim S Alkhaleefah, Majed J Albuali, Nasser M AlYousef, Abdullah E Busaleh, Abdulhadi Al Ali, Fatimah A Bukhamsin, Mustafa A. Alturki, Abdulmohsen Abdullah Aljaziri and Jassim Eid Alnaimi. 13(12): 01-11.

Review Article

Enhancement of Shadow Energies: An Alternative Method of Healing

Almoez LeDin Ellah MS Eltouny. 13(12): 01-09.

Case Report

Successful Management of Neonatal Diaphragmatic Palsy with Home CPAP: A Case Report

Binoy Vadakke Nellissery, Sai Srinivas, Sandeep Kuchi, Babu Balachandaran, Areeba Hasan and Abdul Majeed Ali. 13(12): 01-05.

Case Study

Challenge in Cardiac Rhabdomyoma in Pediatric Age Group

Azza Makram Abdou. 13(12): 01-12.