EC Paediatrics

Impact Factor: 2.124

image

Journal Info

Journal : EC Paediatrics
Current Issue : Volume 13 Issue 7 - 2024
Publication Date : July 01, 2024
Frequency : Monthly
Language : English
Type of Publication : Online
Review Format : Double Blinded Peer Review
Email : paediatrics@ecronicon.uk


Volume 13 issue 7

Guest Editorial

Introducing Climate Change and Scourge of Plastic Pollution into Primary Schools

A R Gatrad, Eshal Shaukat, Lubaina Majid and Theron Mahoney. 13(7): 01-07.

Research Article

Exploring Parental Stress during Neonatal Intensive Care Unit Hospitalization: Factors and Outcomes

K Elmazi, F Bennaoui, A Elalaoui, K Abi Elalae, N El Idrissi Slitine and FMR Maoulainine. 13(7): 01-05.

Review Article

Overview of Newer Concepts in Neonatal Resuscitation

Edwin Dias, Soumya S and Navin N Bappalige. 13(7): 01-10.

Review Article

Still Unsafe Human Error New Prospective

Abdulnasser Ahmed Skheita. 13(7): 01-16.

Case Report

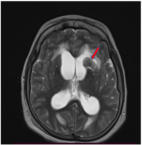
A Pediatric Case: Supratentorial Cerebral Tuberculoma

Sanae Jellal, Rachida Chehrastane, Jihane El Houssni, Sara Zenjali, Lina Belkouchi, Siham El Haddad, Latifa Chat and Nazik Allali. 13(7): 01-03.

Case Report

Fibromatosis Coli Neonatal: A Case Report

Fatima Zohra Benbrahi, Siham El Haddad, Nazik Allali and Latifa Chat. 13(7): 01-03.

Case Report

Idiopathic Neonatal Priapism - Case Report

Joana Ferreira Mendes, Sara Alves Araújo, Alcinda Reis, Inês Ferreira, Fátima Menezes and Fátima Fonseca. 13(7): 01-04.

Case Report

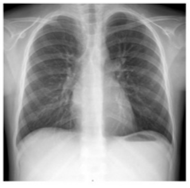
Hypersensitivity Pneumonitis, a Rare Diagnosis in a Paediatric Patient

Joana Ferreira Mendes, Sara Sofia S Rodrigues, Inês Araújo Oliveira, Joana Monteiro and Joana Cardoso. 13(7): 01-05.

Case Report

Unveiling Unforeseen Complications: A Neonatal Case Report on Cord Clamping and Acute Intestinal Obstruction

Zlatko Aleksovski, Mile Petrovski, Lazar Todorovikj, Natalija Cokleska, Sanja Gjorikj and Aleksandar Tanev. 13(7): 01-05.

Perspective

How Information and Communication Technologies can Help Children with Recurrent Abdominal Pain?

Núria Roig, Rubén Nieto, Pere Plaja and Pilar Villalobos. 13(7): 01-06.