EC Paediatrics

Impact Factor: 2.124

image

Journal Info

Journal : EC Paediatrics
Current Issue : Volume 13 Issue 8 - 2024
Publication Date : August 01, 2024
Frequency : Monthly
Language : English
Type of Publication : Online
Review Format : Double Blinded Peer Review
Email : paediatrics@ecronicon.uk


Volume 13 issue 8

Research Article

Measurement of the Complement Protein C3 Levels in Children Suffering from Recurrent Infections at Khartoum State, Sudan

Safaa Abd Alla Ali Tamimi, Musa Mohammed Ahmed Hammed, Mosab Nouraldein Mohammed Hamad and Leila Mohamed A Abdelgader. 13(8): 01-07.

Research Article

Acupuncture Treatment of Persistent Primary Nocturnal Enuresis: A Follow-Up Study

Ahmed Elmansi, Mohammad Ahmad Holayl and Ahmad Salama. 13(8): 01-05.

Research Article

Pattern of Neonatal Admission and Associated Maternal Morbidities at Delivery: A Single Center Observational Study

Sherin Baby Abraham, S E Ibhanesebhor and C M Manjunatha. 13(8): 01-06.

Review Article

Innovations and Challenges in Pediatric Dentistry: A Comprehensive Review

Ashish Pandey, Sakshi Malik and Mili. 13(8): 01-04.

Case Report

Total Colonic Aganglionosis, a Rare Case of Hirschsprung’s Disease

Vasiliki Magaliou, Ismini Dimitri, Katerina Okeke, Athanasios Pegios, Ioannis Georgakis and George Papouis. 13(8): 01-03.

Case Report

4-Month-Old Girl with Unilateral Edema of the Back of the Foot

Marta Folch-Benito, Isabel M Salguero-Pérez, M Belén Caurín-Saboya and Marga Català-Puigbo. 13(8): 01-03.

Case Report

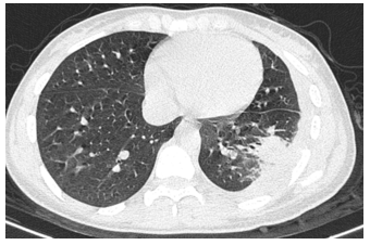
Pulmonary Hydatid Cyst with Broncho-Pleural Rupture: A Rare Complication to be Considered (Case Report)

Ali Haidar, Ahmed El Mostarchid, Lina Blekouchi, Nazik Allali, Siham El Haddad and Latifa Chat. 13(8): 01-04.

Case Report

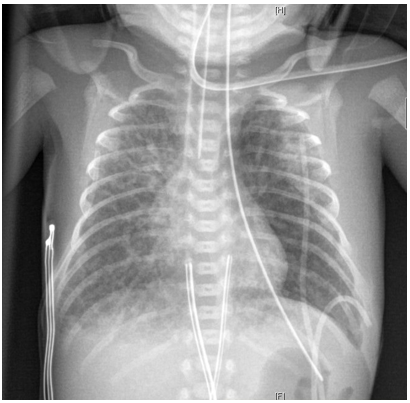
Iatrogenic Pharyngo-Esophageal Perforation in Neonate: A Rare Yet Significant Challenge in Modern Neonatal Care

Mohamed Sakr, Palanikumar Balasundaram, Alanna M Windsor and Mariam Susan LaTuga. 13(8): 01-06.

Case Report

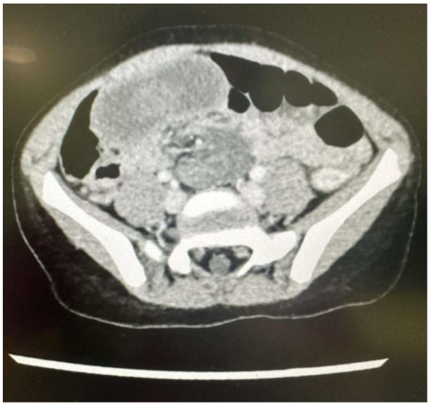
Meckel’s Diverticulum in a 6-Year-Old Girl. A Rare Presentation of Intussusception and Volvulus of Small Bowel

George-Charles Camilleri, Glenn Costa and Mohamed Shoukry. 13(8): 01-04.

Case Report

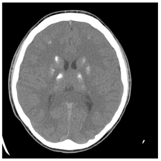
Seizure-Like Activity in an Adolescent with Fahr Syndrome

Sara Farran, Farah Al-Bitar and Berrin Ergun-Longmire. 13(8): 01-05.

Conceptual Paper

Suspected and Real Problems of Acute Pneumonia

Igor Klepikov. 13(8): 01-08.

Commentary

Expected Death in Pediatrics. The End of Life

Mireia Crehuet Almirall. 13(8): 01-04.