Volume 12 Issue 2

Research Article

Diagnostic Performance of Chest Ultrasound in Diagnosing Pneumonia in Pediatric Patients at Mulago National Referral Hospital, Kampala, Uganda

Agnes Kyomuhangi, Daniel Atwine, Geoffrey Erem, Edison Arwanire Mworozi and Samuel Bugeza. 12(2): 03-16.

Case Report

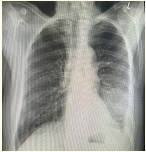
Pulmonary Inflammation in Ulcerative Colitis

Cuneyt Tetikkurt, Halil Yanardag, Muammer Bilir, Buket Caliskaner Ozturk and Nejdiye Gungordu. 12(2): 17-22.