Volume 12 Issue 3

Review Article

Bronchopulmonary Dysplasia (BPD) Long-Term Pulmonary Sequelae in Premature Infants: A Review of the Literature

Talal Alzahrani, Esmail Alzahrani, Maysoon Fageer, Omar Muttar and Oneza Ahmareen. 12(3): 20-29.

Case Report

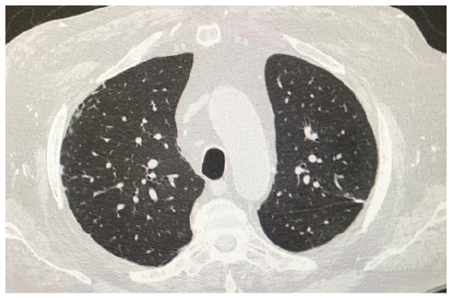
A Patient with Sarcoidosis and Obstructive Sleep Apnea: A Case Report and Review of the Literature

Gacomo Zuccarini, Antonietta Esposito, Franco Chiaravalloti, Chiara Di Simone, Claudia Franciosa, Pierpaolo Prosperi and Antonella Spacone. 12(3): 14-19.

Case Report

Case Report: Cystic Pulmonary Hydatidosis, a Forgotten Disease

Acosta C, Artola F, Gruss A, Chao C, Da Rosa D, Curbelo P, Madruga A, Bodega L and Arechavaleta N. 12(3): 52-57.

Systematic Review

Immunogenicity and Safety of COVID-19 Vaccines in Medical-Conditioned Patients: A Systematic Review and Meta-Analysis

Attapon Cheepsattayakorn, Ruangrong Cheepsattayakorn and Porntep Siriwanarangsun. 12(3): 07-13.

Case Review

Asymptomatic Testicular Carcinoma Presenting with Metastatic Pulmonary Symptoms: Case Based Review

Cuneyt Tetikkurt, Başak Toksöz and Bilun Gemicioğlu. 12(3): 30-36.