Volume 12 Issue 4

Editorial

Identification of Several Genome-Wide-Associated-Genetic Variants in Critical COVID-19

Attapon Cheepsattayakorn, Ruangrong Cheepsattayakorn and Porntep Siriwanarangsun. 12(4): 65-66.

Research Article

Prevalence of Post COVID-19 Syndrome among Egyptian Patients

Heba H Abo ElNaga and Hesham Atef AbdelHalim. 12(4): 41-50.

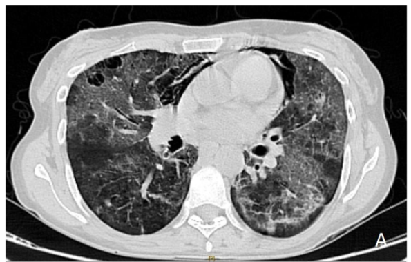
Mini Case Study

Pneumocystis Pneumonia Complicated by Pneumomediastinum in HIV Patient

Yassine Zerhari, Asaad El Bakkari, Hatim Essaber, Soukaina Allioui, Hounayda Jerguigue, Youssef Omor and Rachid Latib. 12(4): 01-03.

Mini Case Study

Pulmonary Hamartochondromas in Cancer Patients: A Diagnostic Challenge

Yassine Zerhari, Mohammed Ennmer, Asaad El Bakkari, Hatim Essaber, Soukaina Allioui, Hounayda Jerguigue, Youssef Omor and Rachid Latib. 12(4): 04-06.