Volume 12 Issue 5

Research Article

Co-Morbidity of Chronic and Communicable Diseases in Nigeria: A Study on the Relationship between Diabetes and Tuberculosis

CE Ijioma, OR Omole, OJ Orji, OE Aminu-Ayinde, EA Kalesanwo, IE Okeji, NC Ekeleme, IO Abali, VU Uduma and AI Airaodion. 12(5): 01-17.

Research Article

Electronic Cigarettes and their Knowledge, Attitude and Practices among Pakistani Population: A Multi-City Study Across Pakistan

Ayesha Nasir Hameed, Muhammad Talha Nawaz, Meher Angez, Khujasta Gul, Amal Farrukh, Alveena Zafar, Muhmmad Saad Abbass and Javaid Ahmed Khan. 12(5): 31-46.

Research Article

Elevated Induced-Sputum Neutrophil Elastase and Osteopontin Levels and Dysphagia in Elderly Persons

Yasuyuki Taooka, Yusuke Higashi, Junya Inata and Takeshi Isobe. 12(5): 60-68.

Review Article

Risk Factors Associated with Oropharyngeal Dysphagia in Patients with Lung Transplantation

Zoha Asif, Hafeez Punjani, Afshan Memon, Ali Punjani and Tasneem Ali. 12(5): 01-06.

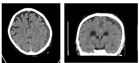
Case Report

Asymptomatic Intracerebral Hemorrhage Under Rivaroxaban

Ekkehard Pietsch. 12(5): 54-59.