Volume 12 Issue 6

Editorial

Cellular and Humoral Immune Response in Patients with Kidney Transplantation After COVID-19 Vaccination

Attapon Cheepsattayakorn, Ruangrong Cheepsattayakorn and Porntep Siriwanarangsun. 12(6): 01-03.

Research Article

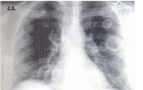
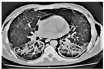
Surgical Aspects of Pulmonary Aspergillosis: Personal Experience, Clinical Case

Opanasenko MS, Konik BM, Shamrai MY, OV Tereshkovich, VI Lysenko, OD Shestakova, BN Konik, LI Levanda, MI Kalinichenko, SM Shalagai, OV SM Bilokon and AN Stepaniuk. 12(6): 01-09.

Case Report

Treatment of Pneumomediastinum by Aspiration Using an Induced Pneumothorax

Mohammed Raoufi, Youssef Chaoui, Hicham Sator, Zaineb Baroudi, Asmaa Ajbal and Mohamed El Maqri. 12(6): 47-53.

Case Report

Bizarre Presentation of Huge Primary Pulmonary Leiomyoma

Samer Al Sawalhi, Bourhan Alrayes, Eman Hijazi, Ibrahim Aqeel and Riad Abdeljalil. 12(6): 01-04.